Malignant Sacrococcygeal Teratoma with Yolk Sac Differentiation in a Child—A Case Presentation

Abstract

Sacrococcygeal teratoma (SCT) is a common congenital neoplasm, contains derivatives of more than one of the three embryonic germ cell layers. However, malignant Sacrococcygeal Yolk Sac tumor (YST) is an extremely rare extra-gonadal germ cell tumor. This case describes a two and half years old female child presenting with history of swelling at sacrococcygeal region for nine months. Case was evaluated clinically. Patient’s serum alpha fetoprotein (AFP) level was elevated abnormally. FNAC of the swelling was done which shows suspicious cell for immature teratoma. Swelling excised and histopathological examination was carried out, the report of which shows malignant sacrococcygeal teratoma with yolk sac tumor.

Share and Cite:

Nasreen, S. , Rahman, M. , Mosarrat, S. , Sharmin, T. and Rahman, M. (2018) Malignant Sacrococcygeal Teratoma with Yolk Sac Differentiation in a Child—A Case Presentation. Open Journal of Pathology, 8, 60-67. doi: 10.4236/ojpathology.2018.82007.

1. Introduction

Among the Germ Cell Tumors (GCT), Sacrococcygeal teratoma (SCT) is the most common congenital neoplasm occurring with a frequency of 1 in 20,000 to 40,000 live births [1] [2] , although it is also seen in adults [3] . These tumors are predominantly seen in females in a ratio of 4:1 and approximately 80% of the affected infants are female [4] .

The majority of SCTs are benign teratomas [4] . These tumors however have the potential for malignant degeneration. Malignancy is usually limited to a single element, a yolk sac tumor (YST), also known as endodermal sinus tumor (EST) [4] . This tumor may occur as pure form or as mixed germ cell tumor [5] . Although, most germ cell tumors (GCT) in children originate in the gonads, the most common primary site for YST is the sacrococcygeal region [4] . SCT often occurs near the coccyx. It is assumed to be derived from the pluripotent cells of Hensen’s node located anterior to the coccyx [1] . Malignant transformations of these cells give rise to tumors that reflect these embryonic features [5] . Likewise sacrococcygeal YST of infant and children reflect the transformation of primordial cells that have failed to migrate to their predestined location and come to rest along dorsal midline of the embryo. The primordial germ cells give rise to an undifferentiated germ cell line. The undifferentiated germ cells undergo differentiation into embryonic or extra-embryonic cells of yolk sac, chorion & allantoin cells [5] .

There are two types of sacrococcygeal tumor based on location. One arises from the distal portion of the sacrococcygeal region, is clinically obvious from birth and nearly always benign. Another type arises proximally in the retrorectal or adjacent retroperitoneum, noticed after birth, usually gonadal origin and malignant from the start [6] .

In other study, SCTs are classified into four distinct types: 1) type I: predominantly external, 2) type II: tumors have significant external and intrapelvic components, 3) type III: small external component with the majority of the lesions extending intrapelvically & intra-abdominally, 4) type IV: tumor occupies the presacral space and has no external component [7] . Here, we present a case of a two and half year old female child with malignant SCT with YST that developed before two years of her age and it was type IV SCT in anatomic location.

2. Case History

A two and half year old female child was admitted in paediatric surgery ward of Chittagong Medical College Hospital with complaints of a diffuse swelling at sacrococcygeal region.

According to the statement of her mother, the swelling developed nine months back. Initially it was small and surface was smooth. Later, the swelling rapidly increased in size and the patient was treated by local (traditional) physician. There developed an ulcer with discharging points after application of traditional medicine by local physician. With these complaints the patient was admitted and clinically it was diagnosed as chronic abscess for which aspiration was done but no pus material came out.

Plain x-ray lumbosacral spine (B/V) was done which revealed a soft tissue swelling at below and behind the sacrum. Ultrasonogram (USG) of sacral swelling revealed a hypoechoic solid mass at gluteal region, midline in position, also involving both buttocks. It is shown in Figure 1 later, the patient was sent to the department of pathology, Chittagong medical college for FNAC (Fine needle aspiration cytology) which shows suspicious cell for immature teratoma (in Figure 2).

Figure 1. Clinical presentation of sacrococcygeal mass.

Figure 2. FNA Smear (H & E Stain, 400×).

And advised to do biopsy for histopathological examination to confirm. Serum alpha-fetoprotein (AFP) level was markedly high (24,200 ng/ml), beta-HCG level was <0.1 nIU/ml and LDH was 798 U/L with other hematological and routine investigation. Then excision of the swelling was done. Excised sacrococcygeal mass along with inguinal lymph node was sent to the pathology department, Chittagong Medical College for histopathological examination. Per operatively, the sacrococcygeal mass was type IV in location, tumor capsule was ruptured & spillage of tumor contents and also there was residual tissue at presacral space.

Gross examination of the tumor mass (in Figure 3) shows a mostly solid gray white mass measuring about 10 × 7 × 6 cm. Cut surface is mostly solid and small cystic areas with mucoid material was also seen. One lymph node sent, measuring about 1 cm, also processed for histopathological examination along with tumor mass. Microscopic examination revealed a malignant SCT with YST and lymph node metastasis. PAS (periodic acid-Schiff) stain was done which reveals

Figure 3. Gross appearance of MSCT.

PAS positive hyaline bodies both intracellularly and extracellularly (in Figures 4-7).

3. Discussion

Germ cell tumor (GCT) in children is rare accounting for 3% - 4% of childhood malignancies. They arise from pluripotent stem cell, occur in gonadal and extragonadal site [8] . Although most GCT in children originates in the gonads, the most common primary site for yolk sac tumor (YST) is the sacrococcygeal region [4] . In other study, Keslar et al. [8] also mentioned sacrococcygeal region as the most common location for GCT in children [9] , other less common sites for GCT include the mediastinum, testes, retroperitoneum, brain & head & neck region [9] and rarely in spinal location which is often associated (42%) with spinal malformation [10] .

GCT in sacrococcygeal region includes mature and immature teratomas and YST or endodermal sinus tumor (EST). Teratomas account for 32% to 66% of extragonadal GCT [3] . An immature teratoma in sacrococcygeal region is also considered benign tumor. The term mixed malignant SCT implies that elements of YST are present along with either form of teratoma. Pure YST may also occur [9] . YST is rare and male to female ratio is about 1: 2.5 [5] .

Patients with GCT typically have a bimodal age distribution, with a peak before three years of age and a second peak during adolescence. Most SCTs are discovered in the neonatal period as an obvious mass but may be detected prenatally [9] . YSTs are usually discovered later in early childhood [9] and exclusively develop in children less than three years of age [4] . SCTs that are predominantly external anatomically have a lower malignant potential than internal (presacral) that are always malignant [5] .

In general, a mature teratoma is benign and is usually found in females while an immature teratoma is typically malignant and is commonly found in males [7] . Factors usually associated with benign lesions include: early (neonatal) presentation, female patient, cystic composition and the presence of large areas

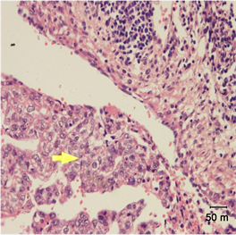
Figure 4. Microscopic appearance of malignant SCT Histopathology section (H & E Stain, 400×).

Figure 5. Schiller Duval body Histopathology section (H & E Stain, 400×).

of calcification or ossification [7] . Factors associated with malignant lesion include: clinical presentation beyond infancy, male patient, and presacral location, solid composition particularly with areas of hemorrhage or necrosis and lack of calcification [7] .

SCT may be confused with hemangioma, lipoma etc. Imaging studies either CT or MRI help to define extent of lesion and suggest true diagnosis. Teratoma may also be mistaken clinically for an abscess especially when they are associated with a draining sinus but imaging studies help to indicate the diagnosis. Here, in this case after doing plain x-ray lumbosacral spine (B/V) and USG, FNAC was done and serum AFP level was measured which was markedly elevated, all these helped to establish diagnosis. It was confirmed later by histopathological examination as malignant SCT with YST. Further management depends on histopathological diagnosis, tumor staging and completeness of surgery. SCT has an alarming potential as a benign or malignant tumor during the first three years of

Figure 6. Lymph node metastasis Histopathology section (H & E Stain, 400×).

Figure 7. PAS positive hyaline bodies (PAS stain, 400×).

life, therefore a close follow up for at least 3 years by physical examination, serum AFP and diagnostic imaging is recommended for all patients who have undergone excision of SCT [1] .

4. Conclusion

In conclusion, sacrococcygeal mass especially in children or neonate needs prompt clinical evaluation and confirmation by histopathological examination and close follow up is recommended, keeping in mind the possibility of teratoma.

Disclosure

All the authors declared no competing interest.

Consent for Publication

Informed written consent was taken from patient’s parent for publication of this case presentation.

Author’s Contribution

Conception and design: S.N, M.Z.R, Study material and patient support: S.N, S.S.M, T.S, Data collection, analysis and interpretation: S.N, S.S.M, M.Z.R, manuscript writing: S.N, S.S.M, Manuscript compiling and editing: M.R. Final approval: all authors.

Limitation

Due to some unavoidable technical error, paraffin block of the sample could not preserve for future study. Histopathological slides are available for further study.

Supplementary data available on request.

Abbreviations

SCT: Sacrococcygeal teratoma, YST: Yolk Sac tumor, AFP: Alpha fetoprotein, FNAC: Fine needle aspiration cytology, EST: Endodermal sinus tumor, PAS (periodic acid-Schiff) stain.

Conflicts of Interest

The authors declare no conflicts of interest.

References

[1] Kouranloo, J., Sadeghian, N. and Mirshemirani, A.R. (2006) Benign Sacrococcygeal Teratoma: A Fifteen Years Retrospective Study. Acta Medica Iranica, 44, 33-36.
[2] Maitra, A. (2015) Diseases of Infancy and Childhood. In: Kumar, V., Abbas, A.K. and Aster, J.C., Eds., Robbins and Cotran Pathologic Basis of Disease, South Asia Edition, Elsevier, Amsterdam, 451-482.
[3] Ariferllam, K.M., Honakerim, V.P., Yendigerim, S.M., Sajjanarm, B.B. and Fathimam, N. (2013) Mature Cystic Sacrococcygeal Teratoma in a Child—A Case Report. Journal of Evolution of Medical & Dental Sciences, 2, 4614-4616.
[4] Lakhoua, F.K., Mahjoub, W.K., Jouini, R., Salah, M.B.H., Kaabar, N. and Debbiche, A.C. (2012) Sacrococcygeal Yolk Sac Tumor: An Uncommon Site. APSP Journal of Case Reports, 3, 17.
[5] Muddamwar, V.G., Hanmante, R.D. and Mane, U.W. and Bindu, R.S. (2014) Malignant Sacrococcygeal Teratoma with Yolk Sac Tumor—Rare Case Report. MedPulse International Medical Journal, 1, 20-21.
[6] Rahman, M.K., Haq, S.M.M., Sarker, A.K., Shahid, S.M.A. and Islam M.B. (2003) Sacrococcygeal Teratoma in a Teen—A Case Report. The Journal of Teachers Association, RMC, 16, 76-78.
[7] Marina, N., et al. (2006) Prognostic Factors in Children with Extragonadal Malignant Germ Cell Tumors: A Pediatric Intergroup Study. Journal of Clinical Oncology, 24, 2544-2548.
[CrossRef
[8] Keslar, P.J., Buck, J.L. and Suarez, E.S. (1994) Germ Cell Tumors of the Sacrococcygeal Region: Radiologic-Pathologic Correlation. Radiographics, 14, 607-620.
[CrossRef] [PubMed]
[9] Dumitrescu, G.F., et al. (2014) Mature Teratoma of the Filum Terminale in the Elderly, Incidentally Diagnosed after an Unmyelinated Lumber Spine Trauma. Archive of Clinical Cases, 1, 28-33.
[CrossRef
[10] Grammatikopoulou, et al. (2012) Immature Malignant Sacrococcygeal Teratoma: Case Report and Review of the Literature. Clinical and Experimental Obstetrics & Gynecology, 2012, 437-439.

Copyright © 2026 by authors and Scientific Research Publishing Inc.

Creative Commons License

This work and the related PDF file are licensed under a Creative Commons Attribution 4.0 International License.