Management of Periurethral Abscess in a Diabetic 47-Year-Old Male: A Case Report

Abstract

Background: Periurethral abscess is an uncommon but life-threatening urological emergency, particularly in immunocompromised patients. If not managed promptly, it can progress to necrotizing fasciitis (Fournier’s Gangrene). Case Presentation: A 47-year-old male with poorly controlled Type 2 Diabetes Mellitus (HbA1c 11.4%) presented with perineal pain, scrotal swelling, and dysuria. Examination revealed a fluctuant, tender mass. Imaging (Ultrasound and MRI) confirmed a localized periurethral collection within the corpus spongiosum. Management: The patient received aggressive fluid resuscitation, insulin therapy, and broad-spectrum antibiotics, followed by urgent surgical incision and drainage (I&D). Wound cultures grew Escherichia coli. Outcome: Postoperative recovery was uneventful. Follow-up MRI showed complete resolution, and the patient remained asymptomatic at three months. Conclusion: High clinical suspicion and early surgical intervention are vital in diabetic patients to prevent morbid complications like Fournier’s gangrene.

Share and Cite:

Eltanany, M. , Matar, R. and Elrashidy, A. (2026) Management of Periurethral Abscess in a Diabetic 47-Year-Old Male: A Case Report. Open Journal of Urology, 16, 160-166. doi: 10.4236/oju.2026.164016.

1. Introduction

While urethral diseases are less frequent than other urinary tract pathologies, periurethral abscesses represent a critical subset of infections. These collections typically form within the paraurethral tissues, often originating in the Littre, Skene, or Cowper glands [1].

1.1. Pathophysiology and Risk Factors

Risk factors include urethritis, urethral strictures, local trauma, and instrumentation. In rare instances, urethral carcinoma may be the underlying cause [2]. The pathophysiology involves microbial adherence to the pseudo-stratified columnar epithelium; subsequent disruption allows the infection to penetrate the periurethral glands [3].

1.2. The Diabetic Context

In diabetic patients, the immunocompromised state accelerates tissue plane transgression, necessitating rapid diagnosis via ultrasonography (US), Computed Tomography (CT), or Magnetic Resonance Imaging (MRI) [4].

2. Case Presentation

2.1. Clinical Presentation

A 47-year-old male patient presented with acute scrotal pain and purulent urethral discharge. Upon arrival, he appeared toxic. Vital signs showed a temperature of 38.8˚C, heart rate of 112 bpm, and BP of 115/70 mmHg, indicating systemic inflammatory response syndrome (SIRS) but hemodynamic stability. Negative findings included an absence of skin crepitus, foul-smelling “dishwater” discharge, or blackened skin patches, which helped clinically exclude active Fournier’s gangrene at that stage [4]. The patient’s medical history was significant for poorly controlled Type 2 Diabetes Mellitus.

2.2. Physical Examination

On physical examination, the patient appeared toxic and was in significant distress. Local examination revealed a swollen, edematous scrotum with exquisite tenderness. A fluctuant mass was palpable along the corpus spongiosum, extending to the perineum.

2.3. Clinical Timeline

  • Day 0: Onset of perineal discomfort and dysuria.

  • Day 3: Rapid progression of scrotal swelling; presentation to the Emergency Department (ED).

  • Day 3 (Hour 2): Initiation of IV fluids, insulin sliding scale, and empiric IV antibiotics.

  • Day 3 (Hour 4): US and MRI performed.

  • Day 3 (Hour 8): Urgent surgical Incision & Drainage (I&D) under spinal anesthesia.

  • Day 4: Transition to culture-targeted antibiotics.

  • Day 7: Discharge on oral antibiotics.

  • Week 4: Follow-up MRI showing resolution.

2.4. Investigations

  • 1) Laboratory: WBC 18,800/mm3, CRP 145 mg/L, HbA1c 11.4%, and Random Blood Sugar 340 mg/dL.

  • 2) Microbiology: Urine culture showed no growth; however, wound cultures from the abscess grew a heavy growth of Escherichia coli, sensitive to Amikacin [5].

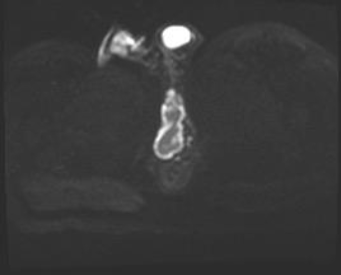
  • 3) Imaging: Ultrasound revealed a thickened, edematous scrotal sac with a loculated collection (35 × 10 mm) at the posterolateral aspect, suggestive of cellulitis and abscess formation [3]. MRI confirmed an irregular fluid collection within the corpus spongiosum at the level of the superior pubic ramus, extending to the prostatic urethra with intense enhancement of the soft tissues [4]. Figures 1-3 show the pre operative MRI.

Figure 1. Axial T2-weighted pelvic MRI demonstrating a hyperintense periurethral fluid collection within the corpus spongiosum at the penoscrotal junction, consistent with abscess formation.

Figure 2. Sagittal T2-FS weighted MRI showing extension of the periurethral abscess along the proximal corpus spongiosum without evidence of cavernosal involvement.

Figure 3. Axial post-contrast T1-weighted MRI demonstrating peripheral rim enhancement of the periurethral collection, confirming abscess cavity formation with surrounding inflammatory changes.

  • 4) Etiology Assessment: The patient denied prior urethral instrumentation, history of STIs, or symptoms of urethral stricture. The etiology was classified as idiopathic/non-instrumentation-related, likely exacerbated by poor glycemic control and patient-reported suboptimal local hygiene [6].

3. Management and Results

3.1. Surgical Management

Given the risk of urethral rupture and the “urological emergency” nature of the abscess in a diabetic patient, urgent I&D was prioritized. Under spinal anesthesia in lithotomy position, a midline incision was made at the ventral aspect of the urethra at the penoscrotal site. Dissection was performed carefully with evacuation of approximately 500 ml of pus using blunt dissection; the cavity reached the root of the penis. A drain was placed, and packing with bactigrass and dressing was performed with instructions for twice-daily dressing changes. A 16Fr silicone urethral catheter was inserted intraoperatively to ensure urinary drainage and serve as a stent to maintain urethral integrity during the healing of the corpus spongiosum. No suprapubic catheter was required as the urethra was found to be intact upon gentle catheterization.

3.2. Antimicrobial Regimen

Empiric therapy was initiated with IV Ceftriaxone (2 g OD), IV Amikacin (15 mg/kg), and IV Metronidazole (500 mg TID) to provide broad anaerobic coverage. Following wound cultures confirming E. coli sensitive to Amikacin and Ceftriaxone, the regimen was de-escalated to Ceftriaxone alone. Total IV therapy lasted 5 days, followed by a 10-day course of oral Ciprofloxacin (500 mg BID) [7].

3.3. Outcomes and Follow-Up

The patient was discharged on Day 7 with instructions for endocrinology follow-up to manage his diabetes. Follow-up MRI at 4 weeks showed a regression of the previously described collection with almost complete resolution of the abscess in the corpus spongiosum and proximal urethra. As seen in Figure 4 and Figure 5, Urethral evaluation at 3 months (via history taking about urine flow) showed a good stream.

Figure 4. Follow-up Coronal T2-weighted MRI obtained 4 weeks after surgical drainage demonstrating near-complete resolution of the previously identified periurethral abscess.

Figure 5. Post operative axial T2-weighted MRI showing interval resolution of soft tissue enhancement and absence of residual periurethral collection.

4. Discussion

4.1. Pathogenesis and Microbial Landscape

Periurethral and corpus spongiosum abscesses are rare clinical entities. In this case, the lack of recent catheterization or trauma suggests that the patient’s immunocompromised status (HbA1c 11.4%) and potential poor local hygiene were the primary drivers. Clinical literature identifies Escherichia coli as the primary aerobic pathogen in idiopathic periurethral abscesses, particularly in the diabetic population [1] [5] [8].

In diabetic patients, the predominance of E. coli is driven by a synergistic failure of local and systemic defenses:

1) Glycosuria and Bacterial Adhesion: Elevated urinary glucose provides a rich growth medium and enhances the adhesion of P-fimbriated E. coli (UPEC).

2) Immune Dysfunction: Hyperglycemia impairs neutrophil chemotaxis and phagocytosis.

3) Anatomical Stasis: Diabetic cystopathy leads to incomplete bladder emptying, facilitating retrograde migration of E. coli into the Littre’s glands [7].

4.2. Recent Trends and Challenges

Literature from 2020-2026 emphasizes a rising prevalence of Extended-Spectrum Beta-Lactamase (ESBL) producing E. coli in diabetic patients [9]. Diabetics are significantly more likely (up to 60% vs 40% in non-diabetics) to harbor ESBL-positive strains. Furthermore, E. coli strains in deep-space infections often possess higher “virulence factor scores” (hemolysin and aerobactin production), explaining significant tissue necrosis and SIRS [6] [8].

4.3. Diagnostic Imaging Modalities

While MRI offers higher sensitivity for defining anatomical boundaries, Contrast-Enhanced CT remains the preferred first-line tool in the emergency department for rapid screening [4] (Table 1).

Table 1. Comparison of emergency MRI and CT scans.

Feature

Computed Tomography (CT)

Magnetic Resonance Imaging (MRI)

Speed & Availability

Superior. Gold standard for emergency settings.

Limited. Longer scan times and specialized staffing.

Soft Tissue Contrast

Moderate. Effective for gas and fluid collections.

Superior. Exquisite detail of pelvic floor/muscle planes.

Sensitivity for Gas

High. Excellent at detecting minute amounts of air.

Lower. Air appears as a signal void.

Clinical Utility

Best for identifying Fournier’s gangrene.

Best for mapping complex fistulae in stable patients.

5. Conclusion

Non-traumatic periurethral abscesses restricted to the corpus spongiosum are rarely reported. However, in diabetic patients, they must be treated as a surgical emergency. Early I&D is essential to prevent the devastating progression to necrotizing fasciitis.

Ethical Statement

Patient consent for publication was approved.

Conflicts of Interest

The authors declare no conflicts of interest regarding the publication of this paper.

References

[1] Tariq, A., Stewart, A.G., Desai, D.J., Britton, S., Dunglison, N., Esler, R., et al. (2022) Periurethral Abscess Etiology, Risk Factors, Treatment Options, and Outcomes: A Systematic Review. Current Urology, 17, 100-108.[CrossRef] [PubMed]
[2] Blaschko, S.D., Weiss, D.A., Odisho, A.Y., Greene, K.L. and Cooperberg, M.R. (2013) Proximal Bulbar Periurethral Abscess. International Brazilian Journal of Urology, 39, 137-138.[CrossRef] [PubMed]
[3] Kachare, M., Alamgir, K. and Mane, N. (2022) Periurethral Abscess in Corpus Spongiosum Diagnosed on Ultrasonography. Journal of Medical Ultrasound, 30, 135-137.[CrossRef] [PubMed]
[4] Alwaal, A., Blaschko, S.D., McAninch, J.W. and Breyer, B.N. (2015) Management of Periurethral Abscess. Urology Case Reports, 3, 1-3.
[5] Kharde, S.N., Anuradha, A.K. and Soumya, S.S. (2025) Urinary Tract Infection in Diabetic Patients: Etiology and Antibiotic Sensitivity. Journal of Contemporary Clinical Practice, 11, 347-353.
[6] Meng, F., Yu, T., Xie, M., Chen, M. and Chen, X. (2025) Postoperative Wound Microbiota in Diabetic Patients with Perianal Abscess: A 16s rRNA Gene Sequencing Study. BMC Microbiology, 25, Article No. 756.[CrossRef
[7] Otta, S., Swain, B. and Bhoi, P. (2020) Microbiological Analysis of Urinary Tract Infection in Diabetic Patients. International Journal of Research in Medical Sciences, 8, 4410-4416.[CrossRef
[8] Tesfaye, N.A., Demessie, M.B., Hassen, M., Solomon, T., Andualem, A., Gebreegziabher, T.L., et al. (2025) E. coli as a Uropathogen in Patients with Diabetes Mellitus, Its Prevalence and Antimicrobial Resistance Profile in Ethiopia: A Systematic Review and Meta-Analysis. BMC Infectious Diseases, 25, Article No. 1276.[CrossRef
[9] Yumlembam, B.D., et al. (2026) Prevalence, Demographic Distribution, and Antimicrobial Resistance Patterns of Extended-Spectrum Beta-Lactamase-Producing Escherichia coli in Urinary Tract Infections: A Cross-Sectional Study in a Tertiary Care Hospital in Manipur, India. Cureus, 18, e101302.

Copyright © 2026 by authors and Scientific Research Publishing Inc.

Creative Commons License

This work and the related PDF file are licensed under a Creative Commons Attribution 4.0 International License.