Internal Carotid Artery Pseudoaneurysm: A Case Report

Abstract

Pseudoaneurysms of the internal carotid artery are rare lesions with a potential for severe complications such as stroke, rupture, or cranial nerve compression. We report the case of a 75-year-old female presenting with acute ischemic stroke symptoms, in whom imaging studies revealed a partially thrombosed pseudoaneurysm of the distal cervical segment of the left internal carotid artery. The patient underwent thrombolytic therapy followed by dual antiplatelet therapy, resulting in full neurological recovery. This report underscores the pivotal role of multimodal imaging and early intervention in preventing morbidity and mortality. A brief literature review contextualizes the case within current diagnostic and therapeutic strategies.

Share and Cite:

Garcia, R. , Bilia, N. , Cruz, E. , Segundo, J. , Sousa, T. , Viana, B. , Martins, G. , Martinolli, T. , Neto, G. , Coimbra, P. , Távora, D. and Neto, F. (2025) Internal Carotid Artery Pseudoaneurysm: A Case Report. Open Journal of Medical Imaging, 15, 236-241. doi: 10.4236/ojmi.2025.154023.

1. Introduction

Internal Carotid Artery Pseudoaneurysms (ICAPs) represent a small subset of vascular lesions [1] [2], typically arising secondary to trauma, iatrogenic injury, infection, or arterial dissection. Unlike true aneurysms, pseudoaneurysms involve a breach in the arterial wall with containment of blood by surrounding connective tissue rather than the normal vessel layers. The pseudoaneurysm sac is therefore fragile and prone to rupture or thromboembolism. ICAPs are particularly critical due to their proximity to essential cerebral circulation and cranial nerves.

The incidence of ICA pseudoaneurysms is reported to be less than 1% of all intracranial aneurysms [1]-[3], though the true prevalence may be underdiagnosed given their often subtle or delayed presentation. Clinical manifestations vary depending on the size, location, and chronicity of the lesion. Some patients remain asymptomatic, whereas others present with stroke, transient ischemic attack, cranial neuropathies, or pulsatile neck masses. Mortality can reach up to 20%, with significant morbidity among survivors [2]-[4], emphasizing the importance of early diagnosis and individualized management strategies.

Recent case reports continue to demonstrate the clinical diversity and potential severity of ICAPs. For example, Nusrath et al. (2010) described an extracranial internal carotid artery aneurysm presenting with dysphagia and dysphonia [5], while Hosn et al. (2017) reported successful endovascular management of a carotid pseudoaneurysm using covered stents [6]. These examples highlight the need for heightened awareness and multidisciplinary evaluation of this entity.

2. Case Description

A 75-year-old female was admitted to the emergency department of Hospital Geral de Fortaleza (General Hospital of Fortaleza) with sudden onset of right-sided weakness and dysarthria that began two hours prior to arrival. Her medical history included systemic hypertension, dyslipidemia, and mild diabetes mellitus, all under regular treatment. She denied recent trauma, infection, or neck manipulation. Upon admission, her NIH Stroke Scale (NIHSS) score was 8, indicating a moderate neurological deficit, primarily due to right hemiparesis and slurred speech.

Initial non-contrast Computed Tomography (CT) of the brain demonstrated an area of subtle hypodensity in the left frontoparietal region, compatible with early ischemic changes. CT Angiography (CTA) of the head and neck revealed an irregular dilatation with partial thrombosis at the distal cervical segment of the left internal carotid artery, causing luminal narrowing and evidence of partial flow stasis. These findings suggested a pseudoaneurysm formation compressing the vessel lumen, leading to reduced distal perfusion.

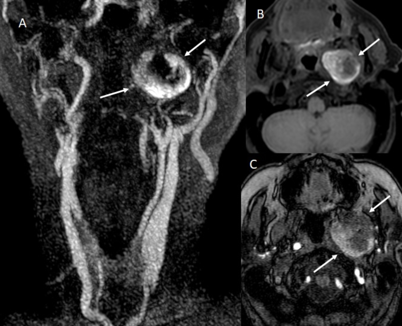
Subsequent Magnetic Resonance Imaging (MRI) of the brain confirmed the presence of ischemic lesions in the left Middle Cerebral Artery (MCA) territory. MR angiography demonstrated a partially thrombosed pseudoaneurysm measuring approximately 1.8 cm in diameter with peripheral enhancement and residual flow at the center (see Figure 1). Digital Subtraction Angiography (DSA) was performed, confirming the diagnosis of a pseudoaneurysm of the distal cervical segment of the left ICA with partial thrombosis and sluggish distal opacification. Imaging also revealed preserved collateral circulation through the circle of Willis, explaining the patient’s maintained perfusion and supporting a conservative approach.

The pseudoaneurysm was presumed to have developed secondary to an arterial

Figure 1. MRI findings. Venous phase of cervical MR angiography (A) demonstrating partial peripheral filling of pseudoaneurysm with contrast material in the distal left internal carotid artery. Axial T1 sequence (B) demonstrating hyperintense thrombus occupying the pseudoaneurysm. 3DTOF MR angiography (C) showing partial internal flow at the lumen of the pseudoaneurysm.

dissection, given the patient’s age and vascular risk profile. Hypertension and dyslipidemia contribute to intimal fragility, predisposing to microtears and intramural hematoma formation.

The patient underwent systemic thrombolysis with recombinant Tissue Plasminogen Activator (rTPA), followed by dual antiplatelet therapy (aspirin and clopidogrel). Over the following days, she exhibited significant neurological improvement, with complete recovery of strength and speech at discharge (NIHSS = 0). During hospitalization, she experienced a single episode of focal seizure, which was successfully controlled with phenytoin. She was discharged on continued dual antiplatelet therapy and scheduled for outpatient follow-up with serial imaging surveillance.

3. Discussion

Pseudoaneurysms of the ICA are pathophysiologically distinct from true aneurysms [3]. While true aneurysms involve dilation of all three arterial wall layers (intima, media, and adventitia), pseudoaneurysms form when a disruption of the arterial wall allows blood to escape and form a contained hematoma within adjacent tissues. The resulting cavity communicates with the arterial lumen and is lined by fibrous tissue rather than endothelium, rendering it unstable and prone to rupture or thrombosis.

The etiologies of ICAPs are varied [2]-[4]. Traumatic injuries, including blunt or penetrating trauma, represent the most common cause. Iatrogenic pseudoaneurysms may occur following surgical procedures such as carotid endarterectomy or endovascular interventions. Spontaneous pseudoaneurysms, though rare, have been reported in association with connective tissue disorders, infections, or arterial dissections, particularly in hypertensive or atherosclerotic patients.

In some instances, pseudoaneurysms may undergo spontaneous thrombosis and regression, as described by Santhosh et al. (2023), although such outcomes are uncommon and unpredictable [7].

In this case, the pseudoaneurysm was presumed secondary to an arterial dissection, given the absence of trauma and the presence of vascular risk factors.

The diagnostic process hinges on imaging, with CTA and MRA being first-line modalities [1] [2] [4]. CTA provides high spatial resolution, enabling detection of vessel wall irregularities, intraluminal thrombus, and mass effect. MRI and MRA further delineate soft tissue characteristics, thrombus age, and residual flow, as well as associated parenchymal ischemia. DSA remains the gold standard for definitive diagnosis and treatment planning, allowing for dynamic assessment and the possibility of immediate endovascular therapy.

Treatment of ICA pseudoaneurysms must be tailored to individual cases, considering lesion morphology, symptoms, and comorbidities. Therapeutic options include conservative management with antiplatelet or anticoagulant therapy, endovascular repair, and surgical intervention. Endovascular techniques such as flow-diverting stents and covered stent-grafts [8] [9] have become increasingly preferred due to their high success rates and minimal invasiveness.

In the present case, medical therapy was initially prioritized due to the patient’s stable hemodynamic status, absence of active bleeding, and good collateral perfusion. Thrombolysis and dual antiplatelet therapy achieved effective recanalization and neurological recovery, aligning with findings from recent literature. A recent multicenter review by Seven et al. (2023) supports conservative management with antithrombotic therapy in stable pseudoaneurysms associated with arterial dissection, whereas Baptista-Sincos et al. (2017) reported favorable long-term outcomes after endovascular repair using flow diverters in complex ICA pseudoaneurysms [8][9].

Potential complications of untreated or mismanaged pseudoaneurysms include rupture, distal embolization, and progressive mass effect [3] [5] [6]. Compression of adjacent cranial nerves may lead to deficits involving the glossopharyngeal, vagus, or hypoglossal nerves. Furthermore, thrombus formation within the pseudoaneurysm can result in embolic stroke, as was likely in this case. Thus, vigilant follow-up is crucial, with repeat imaging at intervals to assess stability or regression.

The presented case contributes to the growing body of literature highlighting the variability of ICA pseudoaneurysm presentations [3] [4] [10] and the importance of individualized therapeutic planning. Early multidisciplinary collaboration among neurologists, radiologists, and vascular surgeons is essential to optimize outcomes and minimize the risk of recurrence or late complications.

4. Conclusion

Internal carotid artery pseudoaneurysms, although rare, represent a potentially life-threatening condition requiring a high index of clinical suspicion and thorough imaging evaluation. The case reported illustrates that prompt diagnosis, combined with targeted pharmacologic management and structured follow-up, can lead to complete neurological recovery even in elderly patients with multiple risk factors. A multidisciplinary approach remains the cornerstone of care, ensuring appropriate diagnostic, interventional, and rehabilitative strategies. Continuous advances in endovascular techniques—particularly flow-diverting stents and covered stent-grafts—promise improved outcomes and reduced morbidity for this challenging vascular entity.

Conflicts of Interest

The authors declare no conflicts of interest regarding the publication of this paper.

References

[1] Debrun, G.M., Aletich, V.A., Kehrli, P., Misra, M., Ausman, J.I. and Charbel, F. (1998) Selection of Cerebral Aneurysms for Treatment Using Guglielmi Detachable Coils: The Preliminary University of Illinois at Chicago Experience. Neurosurgery, 43, 1281-1295.[CrossRef
[2] Simionato, F., Righi, C. and Scotti, G. (1999) Post-Traumatic Dissecting Aneurysm of Extracranial Internal Carotid Artery: Endovascular Treatment with Stenting. Neuroradiology, 41, 543-547.[CrossRef] [PubMed]
[3] Zhong, Y., Feng, J., Luo, H., Gong, X. and Wei, Z. (2022) Spontaneous Internal Carotid Artery Pseudoaneurysm Complicated with Ischemic Stroke in a Young Man: A Case Report and Review of Literature. World Journal of Clinical Cases, 10, 8025-8033.[CrossRef] [PubMed]
[4] Chaer, R.A., DeRubertis, B., Kent, K.C. and McKinsey, J.F. (2008) Endovascular Treatment of Traumatic Carotid Pseudoaneurysm with Stenting and Coil Embolization. Annals of Vascular Surgery, 22, 564-567.[CrossRef] [PubMed]
[5] Nusrath, M.A., Mishra, S., Paterson, A.W. and Robson, A.K. (2010) Extracranial Internal Carotid Artery Aneurysm Presenting with Dysphagia and Dysphonia. Scottish Medical Journal, 55, 58e-60e.[CrossRef
[6] Hosn, M.A., Nicholson, R., Kresowik, T., Sharp, W.J. and Katragunta, N. (2017) Endovascular Treatment of a Carotid Pseudoaneurysm with Covered Stents: Case Report and Review of the Literature. Annals of Cardiovascular and Thoracic Surgery, 1, 11-14.
[7] Santhosh, N.U., Bhattacharjee, S. and Bathala, L. (2023) Spontaneous Extracranial Carotid Artery Pseudoaneurysm: A Rare Entity. Neurology India, 71, 785-786.[CrossRef] [PubMed]
[8] Seven, N.A., Casanegra, A.I., Lanzino, G. and Keser, Z. (2023) Extracranial Internal Carotid and Vertebral Dissecting Pseudoaneurysms: Clinical Features and Long‐term Outcomes. Stroke: Vascular and Interventional Neurology, 3, e000703.[CrossRef
[9] Baptista-Sincos, A.P.W., Simplício, A.B., Sincos, I.R., Leaderman, A., Saliture Neto, F., Moraes, A. and Aun, R. (2017) Flow-Diverting Stent in the Treatment of Cervical Carotid Dissection and Pseudoaneurysm: Review of Literature and Case Report. Annals of Vascular Surgery, 45, 287.e5-287.e10.
[10] Biousse, V., D’Anglejan-Chatillon, J., Touboul, P., Amarenco, P. and Bousser, M. (1995) Time Course of Symptoms in Extracranial Carotid Artery Dissections: A Series of 80 Patients. Stroke, 26, 235-239.[CrossRef] [PubMed]

Copyright © 2025 by authors and Scientific Research Publishing Inc.

Creative Commons License

This work and the related PDF file are licensed under a Creative Commons Attribution 4.0 International License.