Colon Adenocarcinoma in a Retrograde Intussusception: A Case Report and Literature Review

Abstract

Background: Intussusception is defined as a telescoping of a proximal gastrointestinal segment with its mesentery to a distal one, only 5% occur in adults and in colon the probability that it is caused by a malignant disease is up to 65%. Only 1% occurs in a retrograde manner, the rest occur in an anterograde manner. Aim: Describe the clinical presentation of an intussusception in the adult patient as well as its most frequent causes and possible complications that influence decision making for a definitive treatment. Case Presentation: A 66-year-old woman diagnosed with colon adenocarcinoma who underwent elective transverse colectomy and colonic anastomosis with an incidental finding of a transverse colon tumor in a retrograde intussusception was studied. Conclusion: In any adult patient with an intussusception especially in colon a neoplasia should be suspected and the affected segment should be resected without being reduced due to the risk of perforation and tumor dissemination.

Share and Cite:

Brito, C. , Ruiz, P. , Dávila, B. , Delgado, A. , Turrubiates, L. , Toledo, L. and López, O. (2024) Colon Adenocarcinoma in a Retrograde Intussusception: A Case Report and Literature Review. Open Journal of Gastroenterology, 14, 153-160. doi: 10.4236/ojgas.2024.145017.

1. Introduction

Paul Barbette was the first to describe an invagination of the proximal bowel into a distal portion, and in 1789 John Hunter coined the term “intussusception” [1] . It is currently defined as a telescoping of a proximal gastrointestinal segment with its mesentery to a distal one [1] - [12] and it usually develops due to some lesion that acts as a guide point when mobilized by peristalsis [1] [13] .

It predominates in pediatric patients; only 5% occur in adults in whom it causes 1% - 5% of intestinal obstructions, 0.02% of hospital admissions, and 0.07% of abdominal surgeries [1] [3] [4] [5] [6] [7] [9] [10] [12] - [19] . Unlike infants, in adults 90% of intussusceptions are secondary to some pathology [1] [2] [14] [16] [17] whose probability of being a malignant disease is up to 65% in colonic and up to 30% in small bowel diseases [4] [10] [13] [14] [20] , affects men and women equally [2] , and its mean age of presentation is 63 years [8] [16] . Actually, there are no studies comparing conservative treatment with surgical treatment, and the decision to reduce or not the intussusception in adults is controversial because although reduction could avoid unnecessary bowel resection [11] , there is a risk of perforation that favors tumor dissemination and/or contamination of the abdominal cavity [1] [3] [5] [6] [7] [9] [13] [15] [16] [17] . We report this case with the objective of describing the therapeutic approach to be taken when a colonic intussusception is found in an adult patient, taking into account the most frequent etiologies, its clinical evolution and possible complications.

2. Case presentation

A 61-year-old female with no relevant pathologic history with intermittent melenic stools of 3 months of evolution with no other symptomatology. Physical examination showed no abdominal pain or perception of tumor on palpation and audible peristalsis without alterations. Her colonoscopy revealed a circunferential infiltrative lesion of approximately 9 cm in length that stenosed 40% of the intestinal lumen of the transverse colon with histopathological report of poorly differentiated adenocarcinoma; the computed tomography (CT scan) reported a transmural thickening with contrast enhancement in the transverse colon at the level of its middle third in an approximate segment of 11 × 7 cm without pericolonic adenopathies or distant metastases, she did not present carcinoembryonic antigen elevation. She underwent elective transverse colectomy with colonic anastomosis and as a finding there was a tumor of approximately 8 cm diameter in a retrograde intussusception of the transverse colon with discrete color changes in the colon walls (Figure 1, Figure 2); taking into account that we already had a diagnosis of adenocarcinoma, we did not attempt to reduce the intussusception because of the risk of perforation and tumor dissemination and/or contamination of the abdominal cavity. The patient reported that in the days prior to surgery she presented episodes of constipation and intermittent abdominal pain. The histopathologic report concluded a poorly differentiated adenocarcinoma with serosal invasion, with lymphovascular invasion, no perineural invasion, no perforation, negative resection margins, and 3 of 16 lymph nodes with metastases (Figures 3-5). It was staged as a T3N1bM0 and she received 8 cycles of adjuvant chemotherapy with capacitabine and oxaliplatin. Currently, the patient continues under oncologic surveillance with a disease-free period of 3 years.

Figure 1. Adenocarcinoma on the middle third of the transverse colon in a retrograde intussusception.

Figure 2. A retrograde colonic intussusception as an incidental finding secondary to a colon tumor without macroscopic lymph nodes suspicious for malignancy, resected under oncological resection principles and without attempt to reduced it.

Figure 3. Photomicrograph at high magnification (40×). Atypical mitosis figures are frequent.

Figure 4. Photomicrograph at low magnification (10×) of colon; neoplastic cells replace the stroma in solid formations with little cohesiveness and marked pleomorphism.

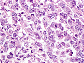
Figure 5. High magnification photomicrograph of colon; neoplastic cells are large, irregular, with moderate eosinophilic cytoplasm with frequent single or multiple vacuoles; central, large, ovoid nucleus with marked pleomorphism, scattered chromatin and large, irregular nucleoli.

3. Discussion

Based on its location and guide point, intussusceptions are classified as entero-enteric, ileo-cecal, ileo-colonic, colo-colonic, and colo-rectal [1] [2] [5] [6] [9] [10] [14] being the most frequent the first two [5] . Intussusceptions of the colon occur more frequently in its flexible segments, being in order of frequency the cecum, sigmoid and transverse colon [1] [9] [19] ; in the latter accounts for 10% of the cases [16] . The affected intestinal segment can measure from 3 to 15 cm in length [8] [11] , and as for the mechanism of development, only 1% occur in a retrograde manner as in our patient, the rest occur in an anterograde manner [1] [3] [11] . In the literature review we did not find any cases of retrograde intussusception.

Fifty-five percent of intussusceptions occur in the small bowel and when they develop due to a tumor, it is generally benign (submucosal lipoma, polyp, leiomyoma, angiolipoma) [1] [2] [3] [9] [16] [20] . Other causes include Meckel’s diverticulum, lymphomas, inflammatory bowel disease, strictures, adhesions, neuroendocrine tumors, bowel ulcers, bezoars, previous anastomosis, mucoceles, leiomyosarcomas, gastrointestinal stromal tumor (GIST), celiac disease, endometriosis and metastatic tumors [3] [4] [7] [8] [9] [11] [16] [20] ; it has also been described that they can be caused by intestinal feeding tubes, since these can act as a guide point for their formation [12] . Approximately in 20% of the cases no underlying cause can be identified and it is called idiopathic [9] .

Up to 38% of intussusceptions develop in the colon and the most frequent cause is a tumor, the most common histology being adenocarcinoma [1] [2] [3] [7] [9] [15] [16] . Although it has been reported that in these cases adenocarcinoma tends to be of early stages [8] , it is more probable that intussusception is only related to tumor size, since larger tumors and/or with invasion to the mesentery or other organs prevent its development [8] , and a tumor of small dimensions can present histological characteristics of high risk and even metastatic lymph node disease as in our patient.

Unlike the pediatric patient where the classic triad of abdominal pain, bloody diarrhea and a palpable tumor are clinical data suggestive of intussusception [1] [2] [5] [16] [17] , in the adult there are no characteristic signs and symptoms for this condition [1] [14] . The most common symptom is persistent abdominal pain accompanied by symptoms of intermittent bowel occlusion such as nausea, vomiting, bloating, constipation and bloody stools [1] [2] [4] [8] [13] [14] [15] [16] , and may develop acutely, subacutely or chronically [2] [7] [9] [14] [17] [18] [19] [20] . Generally, entero-enteric intussusceptions have a more acute presentation compared to colonic intussusceptions which tend to develop subacutely or chronically [8] . Although our patient did not present clinical or radiological data of intussusception, bowel occlusion, or acute abdomen, in the days prior to her surgery she reported intermittent constipation and abdominal pain, which would translate into the progressive development of her intussusception.

The characteristic images of intussusception in CT scan are the “target bull’s eye” and the “sausage-shaped double-ring lesions” [2] [4] [5] [10] [13] [15] . This is the imaging study of choice for its diagnosis since it allows delimiting its location, recognizing its cause in up to 69% of the cases, and identifying data suggestive of ischemia and/or bowel perforation [3] [5] [9] [11] [15] ; intussusceptions measuring more than 4 cm are unlikely to be resolved with conservative treatment [9] . Ultrasound has a diagnostic accuracy for intussusception of approximately 60% and can demonstrate a “doughnut sign” and “pseudo-kidney sign”; however, it can be limited by the distension of bowel loops and the patient’s body habitus [10] [11] [12] [15] .

There are no studies comparing conservative treatment with surgical treatment. While in pediatric patients intussusception can be reduced by enemas or even spontaneously with close monitoring [2] [3] [6] [9] [13] [15] , in adults it usually requires early resection of the affected bowel segment especially if clinical or radiological data of bowel occlusion and/or an imminent complication are present since persistent proximal bowel distension due to distal occlusion may favor the development of microvascular ischemia and perforation culminating in peritonitis [1] [2] [5] [9] [13] [15] . In addition, the cause should be diagnosed and a malignant neoplasm should be discarded, for which surgery could also be therapeutic [1] [2] [7] [20] . The decision to perform a derivative stoma or an anastomosis depends as in other procedures on the general condition of the patient, the conditions of the abdominal cavity, the viability of the affected bowel [3] , and the extension and location of the resected bowel segment [5] [6] . In patients with small bowel intussusceptions of less than 3.5 cm in length and without clinical or radiological data of abdominal complication and/or malignancy, conservative treatment could be considered [2] [9] .

The intraoperative decision to reduce or not the intussusception in adults is controversial; such decision should be based on its location (small bowel or colon), the possible etiologies, the degree of suspicion of malignancy, the time of evolution, the presence or absence of findings suggestive of ischemia and/or perforation, the length of the affected segment to be resected, and its location (for example, an intussusception close to the ligament of Treitz in a patient in poor conditions, where either an anastomosis or a derivative stoma at that level would lead to a high risk of complications) [1] [3] [5] [7] [9] [11] [15] . Although reduction could avoid unnecessary bowel resection [11] , there is a risk of perforation that favors tumor dissemination and/or contamination of the abdominal cavity [1] [3] [5] [6] [7] [9] [13] [15] [16] [17] .

4. Conclusion

In any adult patient with intussusception in a CT scan or as an incidental finding on surgery, especially if it is colonic and there are chronic symptoms of intestinal occlusion and/or suggestive of malignant disease (weight loss, hyporexia, gastrointestinal tract bleeding, lymphadenopathy with suspicious characteristics of malignancy, and/or lesions suggestive of metastasis in other organs), a neoplasia should be suspected as the cause, and for this reason, the affected segment should be resected, under oncological resection principles, and without being reduced due to the risk of perforation and tumor dissemination.

Consent

Written informed consent was obtained from the patient for publication of this case report.

Abbreviation

Computed tomography (CT scan)

Conflicts of Interest

The authors declare no conflicts of interest regarding the publication of this paper.

References

[1] Carlos, H.B., Martha, A.G., Pedro, A.R., et al. (2020) Ileocecal Intussusception in an Adult Secondary to a Colon Adenocarcinoma: A Case Report and Literature Review. American Journal of Surgical Case Reports, 2, 2-4. [Google Scholar] [CrossRef
[2] Hadid, T., Elazzamy, H. and Kafri, Z. (2020) Bowel Intussusception in Adults: Think Cancer! Case Reports in Gastroenterology, 14, 27-33. [Google Scholar] [CrossRef] [PubMed]
[3] Kulkarni, S., Rana, A. and Choi, K. (2022) Adult Colo-Colonic Intussusception in the Setting of Invasive Mucinous Adenocarcinoma: A Case Report. American Journal of Case Reports, 23, e938124. [Google Scholar] [CrossRef
[4] Zhang, J., Tran, D.H., Uradomo, L., et al. (2019) Carcinoid Tumor Causing Ileoceccal Intussusception in an Adult Patient. Journal of Community Hospital Internal Medicine Perspectives, 9, 267-270. [Google Scholar] [CrossRef] [PubMed]
[5] Duda, A., Caparelli, M.L., Braverman, T.S., et al. (2021) Intussusception Secondary to Adenocarcinoma of the Colon: A Case Report and Literature Review. World Journal of Colorectal Surgery, 10, 52-54. [Google Scholar] [CrossRef
[6] Sun, K.K., Yang, D., Gan, M.Q., et al. (2015) Descending Colo-Colonic Intussusception Secondary to Signet Ring Cell Carcinoma: A Case Report. Oncology Letters, 9, 1380-1382. [Google Scholar] [CrossRef] [PubMed]
[7] Zhao, G.W., Meng, W.J., Bai, L. and Li, Q.G. (2022) Case Report: An Adult Intussusception Caused by Ascending Colon Cancer. Frontiers in Surgery, 9, Article 984853. [Google Scholar] [CrossRef] [PubMed]
[8] Gollub, M.J. (2011) Colonic Intussusception: Clinical and Radiographic Features. American Journal of Roentgenology, 196, W580-W585. [Google Scholar] [CrossRef
[9] Alqahtani, W., Ashraf, A., Khokhar, H., et al (2022) Mucinous Tumor of Transverse Colon Presenting with Colo-Colic Intussusception in a 24-Year Old Female: Aggressive Tumor with a Rare Presentation in a Young Female. Journal of Clinical Images and Medical Case Reports, 3, 2131. [Google Scholar] [CrossRef
[10] Poudel, D., Lamichhane, S.R., Ajay, K.C., et al. (2022) Colocolic Intussusception Secondary to Colonic Adenocarcinoma with Impending Caecal Perforation in an Elderly Patient: A Rare Case Report. International Journal of Surgery Case Reports, 94, Article ID: 107093. [Google Scholar] [CrossRef] [PubMed]
[11] Mohamed Ali, M.O., Abdelrahman Mohamed, N.I., Eltomelhussein Ahmed, A.A., et al. (2023) Intussusception Revealing Right Colonic Adenocarcinoma in a 61-Year-Old Woman: A Case Report. Journal of Medical Case Reports, 17, Article No. 299. [Google Scholar] [CrossRef] [PubMed]
[12] Meloro, B.A., DeStefano, L.M. and Ramachandra, P. (2018) Adenocarcinoma of the Sigmoid Colon as a Lead Point for Colocolic Intussusception. ACS Case Reviews in Surgery, 2, 20-23.
[13] Gambardella, D., De Caridi, A., Trapuzzano, O., et al. (2020). Adult Intussusception Secondary to Colorectal Cancer in a Young Woman: A Case Report. Global Surgery Case Reports, 2, 2-4.[CrossRef
[14] Alvarez-Bautistaa, F.E., Moctezuma-Velázqueza, P., Pimienta-Ibarrab, A.S., et al. (2023) Intususcepción en adultos: Todavía un reto diagnóstico para el cirujano. Revista de Gastroenterología de México, 88, 315-321. [Google Scholar] [CrossRef
[15] Gonzalez-Hernandez, J. and Garcia, F. (2015) Cecal Adenocarcinoma Presenting as Colonic Intussusception in Adulthood. Baylor University Medical Center Proceedings, 28, 180-182. [Google Scholar] [CrossRef] [PubMed]
[16] Gras Gomez, C., Ruiz Pardo, J., Sánchez Fuentes, P.A., et al. (2022) Invaginación de colon transverso secundaria a adenocarcinoma colorrectal: Una causa extremadamente infrecuente de dolor abdominal en adultos. Revista Cirugía Andaluza, 33, 40-42. [Google Scholar] [CrossRef
[17] Inada, R., Nagasaka, T., Toshima, T., et al. (2014) Intussusception Due to Rectal Adenocarcinoma in a Young Adult: A Case Report. World Journal of Gastroenterology, 20, 12678-12681. [Google Scholar] [CrossRef] [PubMed]
[18] Micallef, J. and Muhlmann, M. (2023) Colorectal Cancer in a Young Adult: A Case Report of a Rare Phenomenon Allowing Early Diagnosis and Treatment. International Surgery Journal, 10, 127-129. [Google Scholar] [CrossRef
[19] Xu, X.Q., Hong, T., Liu, W., et al. (2013) A Long Adult Intussusception Secondary to Transverse Colon Cancer. World Journal of Gastroenterology, 19, 3517-3519. [Google Scholar] [CrossRef] [PubMed]
[20] Roditis, A., Jendoubi, S., Platevoet, P., et al. (2021) Colorectal Intussusception Due to Adenocarcinoma Presenting as Acute Bowel Obstruction in an Adult. Radiology Case Reports, 16, 1103-1106. [Google Scholar] [CrossRef] [PubMed]

Copyright © 2025 by authors and Scientific Research Publishing Inc.

Creative Commons License

This work and the related PDF file are licensed under a Creative Commons Attribution 4.0 International License.