A Budd-Chiari Syndrome Due to C Protein Deficiency: A Case Report at Yaoundé General Hospital (Cameroon)

Abstract

Primary Budd-Chiari syndrome (BCS) is a spontaneously fatal disease characterized by an obstruction of the hepatic venous outflow tract due to thrombosis or a primary disease of the venous wall. The primary form of BCS is extremely rare. This is a disease mainly affecting young adults of both sexes. Clinical manifestations are variable; they can be asymptomatic, acute, or subacute but mostly chronic. Several causes have been identified, such as myeloproliferative syndrome, antiphospholipid syndrome, paroxysmal nocturnal hemoglobinuria, and inherited thrombotic disorders. Data on primary BCS in Sub-Saharan Africa is rare as most publications available are case reports. In these reports, the causes are unknown with poor prognosis in most cases often leading to patient death. We herein present a case report of a male patient diagnosed with a primary BCS at Yaoundé General Hospital (Cameroon) caused by a Protein C deficiency who presented with ascites decompensating liver cirrhosis. Treatment was based on anticoagulants, diuretics and laxatives administration. Two years after the diagnosis, the patient is alive with clinical and paraclinical improvement.

Share and Cite:

Ndjitoyap Ndam, A. , Aghoagni Gouajio, G. , Awana, A. , Danah, T. , Tangie Ngek, L. , Kowo, M. , Andoulo Ankouane, F. and Ndjitoyap Ndam, E. (2024) A Budd-Chiari Syndrome Due to C Protein Deficiency: A Case Report at Yaoundé General Hospital (Cameroon). Open Journal of Gastroenterology, 14, 117-124. doi: 10.4236/ojgas.2024.144013.

1. Introduction

Primary Budd-Chiari Syndrome (BCS) is a disease characterized by an obstruction of the hepatic venous outflow tract due to thrombosis or a primary disease of the venous wall [1] . The world prevalence is 1 case for 1,000,000 habitants [2] . There were few reports in Sub Saharan Africa (SSA). We observed a case reported in Brazzaville (Congo) and in Goma (Democratic Republic of Congo) [2] [3] . The etiology was probably a prothrombotic status in the Democratic Republic of Congo. In Congo, there was an association with chronic liver disease [2] [3] . In this last case report, the patient dies a few times after the diagnosis [3] . We present here the case of a 35-year-old male patient received and managed at Yaoundé General Hospital (Cameroon) for a BCS. The patient arrives at ascites. Clinical and paraclinical exams help to diagnose the BCS. The etiology was a thrombotic disorder. Two years after the diagnosis, the patient is still alive with real clinical and paraclinical improvement.

2. Case presentation

A 35 years-old Cameroonian male patient, married, father of 4 sons, was received at Yaoundé General Hospital on the 17 October 2022 for an abdominal distension. This abdominal distension was gradual and evolving for 6 months prior to consultation with mild pedal edema and jaundice. There was no fever. His past history revealed recurrent jaundice since its young age which had never been explored. He neither smoked nor consumed alcohol.

Upon physical examination, vital signs were normal with a body mass index of 20.2 Kg/m2. Sclerae were sub icteric. The abdomen was mildly distended with shifting dullness. The liver was enlarged, regular but slightly tender on palpation. And there was a splenomegaly.

Biological investigations revealed anexudative ascites with 30 g/l of proteins and only 40 cells/mm3. There were no malignant cells and the search for acid fast bacilli was negative. The Prothrombin time was low at 61%; Total bilirubin 57 mg/l; Conjugated bilirubin 15.7 g/dl; aspartate aminotransferase 204 IU/l; alanine aminotransferase 162 IU/l; hemoglobin level 9.5 g/dl; platelet level 96,000/mm3; serum creatinine 9 mg/l; Albumin 29 g/l; and alphafoetoportein 3,86 ng/ml. HBs Ag, HBc Ab, HCV Ab and HIV serologies were negative. Ab HBc was positive with HBsAbtitres at 347.48 mUI/ml.

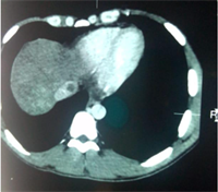
Abdominal ultrasonography showed a homogenous dysmorphic hepatomegaly with a hypertrophic caudate lobe, a splenomegaly and a mild ascites (Figure 1). Right and middle hepatic veins were obstructed. The left hepatic vein was permeable and dilated (Figure 2). We completed imaging with an abdominal computed tomodensitometry (Figure 3) with contrast enhancement. We observed the same aspect of hepatomegaly with an enlarged caudate lobe, splenomegaly and mild ascites. Moreover, the right hepatic vein was hyperechoic suggesting an obstructive thrombosis. The middle hepatic vein was also hyperechoic and partially obstructed. The left hepatic vein and the inferior vena cava were normal. These

Figure 1. Abdominal ultrasonography of November 2022 showing a peri hepatic ascites.

Figure 2. Abdominal ultrasonography of November 2022 showing the obstruction of the right and middle hepatic vein with a permeable and dilated left hepatic vein.

Figure 3. Abdominal computed tomography of November 2022 showing a thrombosis of the middle hepatic vein.

thrombosis aspect of right and middle hepatic vein suggest a BCS. We didn’t do an abdominal Magnetic Resonance Imaging (MRI). We didn’t assess liver stiffness due to the presence of ascites. We didn’t deliver biopsy via the trans jugular route as it is unavailable in our setting. Gastroscopy showed grade 1 esophageal varices and a moderate portal hypertensive gastropathy.

We concluded on a decompensated liver cirrhosis associated with obstruction of right and middle hepatic veins. Thrombophilic assessment revealed low values of Protein C 34% (normal range 70 - 130) and antithrombin 73% (normal range 79.4 - 112). Protein S value was normal at 96% (70 - 140). Anti-cardiolipin antibodies (IgG) was 3 IU/ml (negative).

We concluded on a primary BCS as etiology of this decompensated liver cirrhosis, and a thrombophilic origin.

We placed the patient on diuretics, with Spironolactone 75 mg daily and Furosemide 40 mg daily, an anticoagulation with a direct oral anticoagulant (DOAC) named Rivaroxaban 15 mg daily and on osmotic laxative Lactulose 10 grams twice daily. Evolution was marked with normalization of Alanine aminotransferase two month later and Aspartate aminotransferase four months later, regression of the thrombus three months later, and absence of ascites three months later. Two years after the onset of its first symptoms, the patient is still alive, but remains mildly jaundice.

3. Discussion

BCS is characterized by signs associated with the consequences of an obstruction of the hepatic venous outflow tract [1] . The primary form of BCS is extremely rare with the world prevalence estimated at 1 case per 1 million persons per year [4] . This prevalence seems to be most important in Asia [5] . Data on BCS in SSA is scarce [3] . This is the first case reported in Cameroon.

Literature suggest that BCS occurs in young adults of both sexes aged 35 – 40 [6] . Other case reports from central Africa were 2 men of 33 and 32 years old respectively from Congo Brazzaville and Congo Kinshasa [2] [3] . Our patient was aged 35 years. The age range is described in the literature. With regards to sex, in three cases, the patient was a male patient. But we can’t conclude to a male predominance only in 3 case reports. We wish to have more publications on this topic in our setting.

Clinical manifestations are extremely variable; it can be asymptomatic, acute, subacute or chronic [7] . The chronic form represents 60% [8] . Here we have a dysmorphic liver, venous collateral development and ascites [8] . In literature, ascites is described in 95% - 100% of cases, hepatomegaly in 55% - 100%, an abdominal pain in 80%, and jaundice in 32% of cases [3] [9] . Upper gastrointestinal bleeding is observed in 15% of patients [3] . In this case, decompensation of liver cirrhosis with ascites revealed the disease. We didn’t have any gastrointestinal bleeding despite of endoscopic signs of hypertension. The patient was sub icteric, without any signs of hepatic encephalopathy.

Laboratory findings are diverse during BCS [1] . Serum aminotransferase activity tends to be markedly increased in the acute clinical presentation, with a possible rapid decrease with treatment. Serum bilirubin, albumin measurements and the prothrombin time vary depending on the severity of hepatic insufficiency. Full blood count may show a cytopenia due to hypersplenism related to portal hypertension. A high serum-ascites albumin gradient increases such as in exudative ascites1. In BCS, the liver congestion due to chronic hepatic venous obstruction leads to the development of hepatic fibrosis. The fibrotic response is triggered by hepatocyte ischemia and necrosis together with sinusoidal thrombosis. Increased sinusoidal pressure causes ascites formation and portal hypertension [1] .Gradual onset ascites is a common presentation of the disease with an exudative fluid [10] [11] . This was the case in our patient having a progressive abdominal distension. And the protein level in the ascites was greater 30 g/l with few cells. In this case, we observed mild elevation of liver enzyme transaminases. And this elevation decreases after treatment. The hepatic insufficiency is rarely severe (prothrombin time > 40%) [10] . In our case the prothrombin time was 61%.

In BCS, imaging without vascular enhancement usually shows a dysmorphic liver, typically with an enlarged caudate lobe. Signs of portal hypertension such as portosystemic collaterals (including esophageal varices), splenomegaly, and ascites are common. A computed tomography or MRI obtained at the arterial, portal, and late phases after injection of a vascular contrast agent or with the use of Doppler ultrasonography and vascular contrast enhancement are more specific. The hepatic veins, inferior vena cava, or both may appear abnormal. There may be diffuse obliteration of the lumen or stenosis [1] [4] . In our case, it is computed tomography with contrast enhancement which confirmed diagnosis. Thrombosis involved two hepatic veins: the right and the middle one. As signs of portal hypertension, we observed a splenomegaly, grade 1 esophageal varices, and moderate portal hypertension gastropathy.

A histopathological exploration should be realized. Typical changes are ischemic liver cell loss, sinusoidal dilatation, and perisinusoidal fibrosis. These abnormalities predominate in centrilobular areas. Fibrosis may eventually evolve to cirrhosis as in our case [12] . Hepatocellular carcinoma may develop over time, with a 10-year cumulative incidence of approximately 10% [13] . Our setting didn’t allow the realization of a liver biopsy in our case.

Several causes of BCS have been described. The etiology could be an acquired disorder such as myeloproliferative neoplasm (40% - 50%), antiphospholipid syndrome (10% - 12%), paroxysmal nocturnal hemoglobinuria (7% - 12%). It could also be an inherited disorders including: Factor V Leiden 8%, Factor II mutation 3%, Protein C deficiency 5%, Protein S deficiency 4% or Antithrombin deficiency 1%. Another etiology is associated with hormonal factors such as oral contraceptive use 22%, systemic diseases 6%, or recent pregnancy 1%. Last etiologies are local factors such as inflammatory intra-abdominal conditions, intraabdominal surgery or abdominal trauma [14] [15] [16] . In our case, the etiology retained was a prothrombotic state associated a Protein C deficiency.

Protein C is a vitamin K-dependent protease circulating in plasma. It becomes activated to form activated protein C via interaction with thrombin. The activated protein C degrades acts to down-regulate coagulation by cleaving and inactivating clotting factors V and VIII. Thus, the protein C deficiency increases the risk to develop a vein thrombosis. In the pathogenesis, the blockage of two or more major hepatic veins increases the sinusoidal pressure and reduces sinusoidal blood flow [9] . The combined effect of these changes in hepatic circulation on liver parenchyma is hypoxic damage of hepatocytes. Progressive fibrosis, nodular regenerative hyperplasia and cirrhosis develop during the course of disease [9] .

The case report of Congo found an elevated fibrinogen and anti-cardiolipin antibodies. This patient was also infected with hepatitis B [3] . The team of Kinshasa in Democratic Republic of Congo didn’t carry out biologic test to identify the etiology, but they suspected a prothrombotic state [2] . None of these three studies found a myeloproliferative neoplasm which is the first etiology in the literature [1] . Some other studies should be done to have the real prevalence of BCS etiologies in our setting.

The goal treatment of BCS is the restoration of hepatic venous outflow [1] . The team should be multidisciplinary associating hepatologists, radiologists, transplantation surgeons, hematologists, and specialists in systemic disorders [1] . The treatment should achieve the recanalization of the obstructed hepatic veins. For this, we recommended an anticoagulation. Low molecular-weight heparin and a vitamin K antagonist are most used in this indication [1] . But this treatment has the disadvantage to be administered through venal injection. Moreover, the Index Normalized Ratio should be monitored. Therefore, medical teams look for alternative to this treatment. In our case, we used Rivaroxaban, a DOAC with good results. This efficacy of DOAC has also been described recently by semmler et al. in 2023 in an Austrian multicenter study [17] . Associated treatments are the management of portal hypertension with diuretics for the ascites, nonselective beta-blockers for variceal bleeding, osmotic laxative, transjugular intrahepatic porto systemic shunt (TIPS) or liver transplantation.

Concerning the prognosis, BCS has a high mortality rate [18] . When it is managed appropriately, survival at 5 years could exceed 80% [19] . To predict the evolution, some prognosis score has been developed. We have the Clichy prognostic score, the New Clichy prognostic score, the Rotterdam score, the BCS-TIPS prognostic score, the BCS intervention-free survival prognostic score and the BCS survival score. They used the age of patient, some clinical features, presence or not of an ascites, the Child pugh score, the creatinine level, the bilirubin level, and the prothrombin time value [19] [20] [21] [22] [23] . The formula of the Clichy prognostic score is (ascites score × 0.75) + (Pugh score × 0.28) + (age × 0.037) + (creatinine level [μmol/liter] × 0.0036) [20] . For ascites score, 3 denotes an intractable ascites, 2 ascites easy to treat, and 1 absence of ascites. The cut-off point is a score ≤5.4 (good prognosis) or >5.4 (poor prognosis). When we evaluate the Clichy prognostic score in our patient, we obtained a value of 5.0415 corresponding to a good prognosis. Another poor outcome element is when an alanine aminotransferase level is 5 or more times the upper limit of the normal range at presentation and does not decrease rapidly in the next few days [23] . In our patient, alanine aminotransferase level was elevated but less than 5 times the upper limit of the normal range at the diagnosis. Two month later, they were normal.

4. Conclusion

BCS is a rare affection. We should think about this affection in front of any portal hypertension with exudative ascites. Abdominal imaging enables diagnosis. Etiologies are variable. Well treated, the prognosis could be good.

Conflicts of Interest

The authors declare no conflicts of interest regarding the publication of this paper.

References

[1] Garcia-Pagán, J.C. and Valla, D.C. (2023) Primary Budd-Chiari Syndrome. The New England Journal of Medicine, 388, 1307-1316.[CrossRef
[2] Kahindo, K.C. and Tsongo, K.Z. (2019) Syndrome de Budd-Chiari : A propos d’un cas. Kisangani Médical, 9, 356-361.
[3] Service, G., Deby, G., Atipo, B.I., Maganga Moussavou, I.F., Ngoma Nkandoulou, P.H., Ibara, J.R., Itoua Ngaporo, A. and Okouo, M. (2014) Syndrome de Budd-Chiari. A propos d’un cas au CHU de Brazzaville et revue de la literature. Médecine DAfrique Noire, 61, 263-269.
[4] Valla, D.C. (2009) Primary Budd-Chiari Syndrome. Journal of Hepatology, 50, 195-203.[CrossRef] [PubMed]
[5] Grus, T., Lambert, L., Grusová, G., Banerjee, R. and Burgetová, A. (2017) Budd-Chiari Syndrome. Prague Medical Report, 118, 69-80.[CrossRef] [PubMed]
[6] Ouhadi, L., Creemers, E., Honoré, P., Delwaide, J., Marchetta, S. and Defraigne, J.O. (2015) Budd-Chiari Syndrome: A Case Report and Review of the Literature. Revue Médicale De Liège, 70, 378-383.
[7] Plessier, A. (2016) Syndrome de Budd-Chiari (Budd-Chiari Syndrome). Société nationale française de gastroentérologie.
[8] Benali, F. and Aqodad, N. (2020) Budd-Chiari primitif: Défi diagnostique et thérapeutique. The Pan African Medical Journal, 37, Article 142.[CrossRef] [PubMed]
[9] Aydinli, M. and Bayraktar, Y. (2007) Budd-Chiari Syndrome: Etiology, Pathogenesis and Diagnosis. World Journal of Gastroenterology, 13, 2693-2696.[CrossRef] [PubMed]
[10] Plessier, A. and Valla, D.C. (2008) Budd-Chiari Syndrome. Seminars in Liver Disease, 28, 259-269.[CrossRef] [PubMed]
[11] Singh, V., Sinha, S.K., Nain, C.K., Bambery, P., Kaur, U., Verma, S., et al. (2000) Budd-Chiari Syndrome: Our Experience of 71 Patients. Journal of Gastroenterology and Hepatology, 15, 550-554.[CrossRef] [PubMed]
[12] Cazals-Hatem, D., Vilgrain, V., Genin, P., Denninger, M.H., Durand, F., Belghiti, J., et al. (2003) Arterial and Portal Circulation and Parenchymal Changes in Budd-Chiari Syndrome: A Study in 17 Explanted Livers. Hepatology, 37, 510-519.[CrossRef] [PubMed]
[13] Sempoux, C., Paradis, V., Komuta, M., Wee, A., Calderaro, J., Balabaud, C., et al. (2015) Hepatocellular Nodules Expressing Markers of Hepatocellular Adenomas in Budd-Chiari Syndrome and Other Rare Hepatic Vascular Disorders. Journal of Hepatology, 63, 1173-1180.[CrossRef] [PubMed]
[14] Van Wettere, M., Paulatto, L., Raynaud, L., Bruno, O., Payancé, A., Plessier, A., et al. (2020) Hepatobiliary MR Contrast Agents Are Useful to Diagnose Hepatocellular Carcinoma in Patients with Budd-Chiari Syndrome. JHEP Reports, 2, Article ID: 100097.[CrossRef] [PubMed]
[15] Garcia-Pagán, J.C., Heydtmann, M., Raffa, S., Plessier, A., Murad, S., Fabris, F., et al. (2008) TIPS for Budd-Chiari Syndrome: Long-Term Results and Prognostics Factors in 124 Patients. Gastroenterology, 135, 808-815.[CrossRef] [PubMed]
[16] Hamulyák, E.N., Daams, J.G., Leebeek, F.W.G., Biemond, B.J., Te Boekhorst, P.A.W., Middeldorp, S., et al. (2021) A Systematic Review of Antithrombotic Treatment of Venous Thromboembolism in Patients with Myeloproliferative Neoplasms. Blood Advances, 5, 113-121.[CrossRef] [PubMed]
[17] Semmler, G., Lindorfer, A., Schäfer, B., Bartl, S., Hametner-Schreil, S., Gensluckner, S., et al. (2023) Outcome of Budd-Chiari Syndrome Patients Treated with Direct Oral Anticoagulants: An Austrian Multicenter Study. Clinical Gastroenterology and Hepatology, 21, 978-887.E2.[CrossRef] [PubMed]
[18] Tavill, A.S., Wood, E.J., Kreel, L., Jones, E.A., Gregory, M. and Sherlock, S. (1975) The Budd-Chiari Syndrome: Correlation between Hepatic Scintigraphy and the Clinical, Radiological, and Pathological Findings in Nineteen Cases of Hepatic Venous Outflow Obstruction. Gastroenterology, 68, 509-518.[CrossRef
[19] Seijo, S., Plessier, A., Hoekstra, J., Dell’era, A., Mandair, D., Rifai, K., et al. (2013) Good Long-Term Outcome of Budd-Chiari Syndrome with a Step-Wise Management. Hepatology, 57, 1962-1968.[CrossRef] [PubMed]
[20] Zeitoun, G., Escolano, S., Hadengue, A., Azar, N., El Younsi, M., Mallet, A., et al. (1999) Outcome of Budd-Chiari Syndrome: A Multivariate Analysis of Factors Related to Survival Including Surgical Portosystemic Shunting. Hepatology, 30, 84-89.[CrossRef] [PubMed]
[21] Langlet, P., Escolano, S., Valla, D., Coste-Zeitoun, D., Denie, C., Mallet, A., et al. (2003) Clinicopathological Forms and Prognostic Index in Budd-Chiari Syndrome. Journal of Hepatology, 39, 496-501.[CrossRef
[22] Darwish Murad, S., Valla, D.C., de Groen, P.C., Zeitoun, G., Hopmans, J.A.M., Haagsma, E.B., et al. (2004) Determinants of Survival and the Effect of Portosystemic Shunting in Patients with Budd-Chiari Syndrome. Hepatology, 39, 500-508.[CrossRef] [PubMed]
[23] Rautou, P.E., Moucari, R., Escolano, S., Cazals-Hatem, D., Denié, C., Chagneau-Derrode, C., et al. (2009) Prognostic Indices for Budd-Chiari Syndrome: Valid for Clinical Studies But Insufficient for Individual Management. American Journal of Gastroenterology, 104, 1140-1146.[CrossRef] [PubMed]

Copyright © 2026 by authors and Scientific Research Publishing Inc.

Creative Commons License

This work and the related PDF file are licensed under a Creative Commons Attribution 4.0 International License.