Hypergonadotrophic Hypogonadism with Cerebellar Ataxia in a Twenty-Six-Year-Old Female: A Case Report

Abstract

Gordon Holmes Syndrome is a rare inherited disease characterized by both neurological and reproductive signs and symptoms. Most patients develop neurologic challenges in early adulthood and cerebellar ataxia occurs as the disease progresses. In the majority of patients, hypogonadism is hypogonadotropic but rarely hypergonadotropic. We report a case of a 26-year-old female in Nigeria, with hypergonadotropic hypogonadism and cerebellar atrophy from a non-consanguineous marriage and no family history.

Share and Cite:

Oti, B. , Okorie, G. , Chime, P. , Chime, E. , Ezeala-Adikaibe, B. , Orjioke, C. , Ekochin, F. and Abonyi, M. (2024) Hypergonadotrophic Hypogonadism with Cerebellar Ataxia in a Twenty-Six-Year-Old Female: A Case Report. Open Journal of Modern Neurosurgery, 14, 83-90. doi: 10.4236/ojmn.2024.141009.

1. Introduction

Hypergonadotropic hypogonadism with cerebellar ataxia is a very rare disease with autosomal recessive inheritance [1] [2] [3] [4] . The relationship between hypogonadism and cerebellar disorder was first reported as hypogonadotropic hypogonadism with cerebellar ataxia, by the British Neurologist Sir Gordon Morgan Holmes more than 100 years ago, hence the name Gordon Holmes Syndrome (GDHS) [5] . He reported the case of three brothers and a sister (with normal parents) who, in their mid-thirties, developed cerebellar symptoms and signs of sex steroid deficiency. The brothers had poorly developed genitalia and scanty pubic hair. The majority of the patients with GDHS are born from consanguineous marriages with normal parents suggesting a recessive nature of the gene. The disease is seen by most authors as a separate nosologic entity while others see it as a variant of the Perrault Syndrome, in which a genetic disorder in both genders presents with sensorineural deafness and in females with ovarian dysfunction. Hypergonadotropic hypogonadism with ataxia was observed later with the advent of gonadotropin assays, but hypogonadotropic hypogonadism is the more common form and is a result of a defect in the production or release of gonadotropins by the pituitary gland, while hypergonadotropic hypogonadism is as a result of failure at the level of the gonads rather than at the level of the pituitary. The symptoms of GDHS can start at any age and the clinical spectrum is broad, mostly characterized by both neurological and reproductive signs and symptoms. But there are males with cerebellar ataxia and isolated defects in sperm morphology without any clearly defined hormone problem [6] . One of the major features is reduced production of reproductive hormones. Consequently, there is a delay in secondary sexual characteristics such as the growth of facial hair, deepening of voice in males, and menarche and breast development in females. Some patients may never undergo puberty at all, while others develop other reproductive problems later in life. Most patients develop neurological problems in early adulthood, usually beginning with dysarthria. Cerebellar ataxia occurs as the disease progresses, making activities of daily living difficult. Dementia is a very common symptom in these patients. Other neurological problems like chorea, mental retardation, choroidal dystrophy, hearing impairment, ectodermal dysplasia, short stature, and polyneuropathy may also occur later in life and are usually progressive [7] .

The combination of neurologic features and endocrine findings suggests that cerebellar ataxia with hypogonadism is a complex heterogeneous syndrome.

This case is unique and has not been reported in our environment. And we hope that our review might shed some light on this interesting case of Hypergonadotropic Hypogonadism with Cerebellar ataxia and that further research can be done in Nigeria and Africa at large to improve patient outcomes.

2. Case Report

A 26-year-old right-handed female Nigerian who presented to the neurology outpatient clinic with progressive difficulty in walking of about 3 years duration and primary amenorrhea. There was associated inability to stand without falling forward or sideways, and difficulty standing from a sitting position. Whilst seated she could move her limbs in all directions. Recently she noticed that her voice ‘breaks’ when she speaks (scanning speech). There was no preceding history of trauma to the head neither headaches, tremors involving any of her extremities nor the use of antipsychotic medications. She used all her limbs and there is no dysphagia, involuntary weight loss or gain, no visual impairment and no hearing deficit. There was no circadian exacerbation of the gait abnormality and no galactorrhoea. Before presentation to our clinic, the patient said she was treated with an estrogen, which did not ameliorate her challenges.

She was born to a 26-year-old mother as the first of a set of twins following an uneventful pregnancy and delivery. Birth weight was 3.6 kg, she received all recommended vaccinations and had no delay in achieving early developmental milestones. It was during her adolescence that she was noted to have poor development of secondary sexual characteristics along with absent menarche till the time of this report. Her twin brother is healthy, a university graduate and gainfully employed. She has four other siblings with no history of similar illness and there is no family history of neurological diseases.

Her overall academic performance was regarded as average and she completed a tertiary education and works as a sales clerk. She related well with her classmates and peers.

Physical examination showed an alert and well-oriented young woman, afebrile, not pale, anicteric, no cyanosis and no peripheral lymphadenopathy or pedal edema. She had sparse pubic hair and poor breast development (tanner stage 2). Pulse was 76 beats per minute and blood pressure was 115/65 mm∙Hg.

The pupils were round, symmetrical and reactive to light. The ocular movement was possible in all directions but extraocular muscle testing results were significant for horizontal and vertical gaze-evoked nystagmus. The visual fields by confrontation were complete in both eyes and in all 4 quadrants and visual acuity was normal. Funduscopic examination was not remarkable. There is a prominent intermittent tongue fasciculation. Other cranial nerves were normal.

There was no muscle wasting, no fasciculations (spontaneous or induced). The gait was ataxic and broad-based. There was increased muscle tone and full power in all limbs and muscle groups as well as hyperreflexia in all the limbs. Romberg’s test was positive. Finger-nose and heel-to-shin test showed ataxia bilaterally, the tandem walk was uncoordinated as the patient sways to both sides. The Babinski reflex was absent. Sensory exam was normal. Examination of the ear, nose and throat revealed no abnormalities apart from mild dysarthria.

The routine laboratory tests were normal.

The cerebrospinal fluid (CSF) analysis result was not remarkable, CSF was clear and colourless, with about 1 to 2 Leucocytes/µl, Serum protein was 65.4 g/dl (66 - 87), serum albumin 43.4 g/dl (38.1 - 46.5) and CSF protein was 0.25 g/dl.

The serum biochemistry (hormone profile) was as follows: TSH 0.53 mIU/nl (0.5 - 4.1), T3 0.8 nmol/l (1.6 - 3.8), T4 151 nmol/l (101 - 213), Testosterone 1.68 ng/ml (2 - 8), Progesterone < 1.4 ng/ml (1.4 - 8.0), Prolactin 7.5 ng/ml (4 - 30), FSH 90.0 miu/ml (1.9 - 13.5), LH 33.0 miu/ml (2 - 12.5), Estradiol 38.0 miu/ml (30 - 85). Markedly elevated FSH and LH but low Testosterone, Progesterone and Estradiol which were near the lower limit of normal, indicating a hypergonadotropic type of hypogonadism.

The patient’s psychological assessment consisted of an evaluation of intellectual level, memory systems and psychological stability. Concerning the expected scores of cognitive evaluations, the patient scored below average. She had impairment of fine motor skills, reduced mental flexibility as well as reduced abstraction capacity. She tends to harbor some deep feelings of insecurity and has exaggerated needs for attention and affection. Her interpersonal relationship is sensitive, maybe emotionally withdrawn and reserved, which may create much emotional stress for her.

The Abdomen-pelvic ultrasound shows a non-gravid anteverted infantile uterus measuring 8 mm × 4 mm × 6 mm with uniform myometrial echotecture; the uterine outline is defined along the length of the cervix. The endometrial plate is undefined with no endometrial echo; no cul-de-sac, and both ovaries were not visualized.

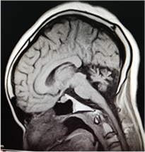
Brain Magnetic Resonance Imaging (MRI) shows cerebellar hypoplasia with normal cerebrum and brain stem (Figure 1(a) and Figure 1(b)).

Pure tone audiometric examination at frequencies of 250 Hz, 500 Hz, 750 Hz, 1 kHz, 2 kHz, 4 kHz, 6 kHz and 8 kHz revealed normal hearing in both ears.

During outpatient follow up over three months, the client was counseled on the genetic nature of her challenges and offered clinical psychotherapy as well as commenced on rehabilitation by a physiotherapist who amongst others used a wobble board and parallel bar exercises. She was also informed about the possibility of breast augmentation surgery. During this period she became more confident socially and also improved with respect to ataxia but not much resolution of speech difficulty.

3. Discussions

The index case describes an adult with hypergonadotropic hypogonadism and ataxia. An association of cerebral ataxia and hypogonadism was first described as the Gordon Holmes syndrome by Gordon Holmes in 1907 [5] . Since then different cases, both hypogonadotropic and hypergonadotropic have been described by many authors. To the best of our knowledge, this is the first case of hypergonadotropic hypogonadism with cerebellar hypoplasia to be described in

(a) (b)

Figure 1. Brain MRI of the patient showing cerebellar hypoplasia with normal cerebrum, brain stem and ventricle. Informed consent was obtained from the patient to allow data and image publication.

a Nigerian patient. Most cases of hypogonadism reported in GDHS were hypogonadotropic [2] [8] [9] . Recently in 2019, Soussou et al. reported a case of secondary amenorrhea with hypergonadotropic hypogonadism associated with cerebellar ataxia, in Morocco in a 29-year-old female offspring of a first-degree consanguineous marriage with normal parents [10] . Unlike in the index study, ataxia started at the age of 14 years and the patient had secondary amenorrhea which started three years later. The patient also had a brother with Von Recklinghausens disease. The hypogonadism in our patient is hypergonadotropic, the parents are not related, she has primary amenorrhea and the other family members are normal, including her twin brother who is a university graduate.

A review of ataxia cases associated with hypergonadotropic hypogonadism revealed only 15 documented cases showing that the disease is rare [1] . A case of cerebellar ataxia with hypergonadotropic hypogonadism and sensorineural deafness with secondary amenorrhea which is atypical for hypergonadotropic hypogonadism was also reported [11] [12] . Even though reports said that estrogen affects cerebellar functions positively, justifying its use in the treatment of Friedreich ataxia, our patient said that the estrogen treatment she got before the presentation did not have any positive effect on the symptoms she was having; on the other hand, the patient reported by Soussou et al. had secondary amenorrhea [10] , but our patient has primary amenorrhea which could be the reason. Both hyper- and hypogonadotropic forms of GDHS have been reported since the advent of gonadotropin assays. A case of two brothers with eunuchoid skeletal features and low urinary gonadotropins with the additional feature of cerebellar ataxia was also reported in the early sixties where their maternal uncle had the syndrome [9] . A year later Matthews and Rundle described two brothers with cerebellar ataxia beginning at about 20 years of age and associated with marked hypogonadism. One brother had moderate nerve deafness and later developed dementia [13] . Further descriptions of the association of the disease with other symptoms like chorioretinal dystrophy as an autonomous single-gene disorder which is known as Boucher-Neuhauser Syndrome have been also reported [8] [9] . With so many variations in clinical presentations, GDHS is not a single entity and the possibility of multiple genes or different genes involved in the etiology is rated as high. Some of these cases have also been described as variants of Holmes-type ataxia and others reported it as a different disease. We see the symptoms our patient presented with as a variant of Gordon Holmes Syndrome even though we described it as hypergonadotropic hypogonadism with cerebellar ataxia, this is because we found cerebellar atrophy, cerebellar ataxia and it also affected the hypothalamic-pituitary-gonadal axis in our patient. Besides, this syndrome is most likely of autosomal recessive inheritance or the result of a denovo mutation. Genetic studies have contributed a lot to the understanding of the pathology of GDHS. Unfortunately, we could not offer genetic testing to this patient due to the resource constrained setting in Nigeria.

The absence of an affected family member could suggest that the index case is probably sporadic. The hypergonadotropic hypogonadism with cerebellar ataxia can be associated with many other neurological disorders. These include sensorineural deafness, also called Perrault Syndrome, late-onset with a dominant mode of inheritance [14] . Her ability to complete her tertiary education showed that the index patient had a good level of intelligence before the decline in cognitive function commenced. Cognitive decline is considered one of the key features of GDHS [15] . Brain imaging showed pure cerebellar hypoplasia; the cerebral hemispheres were normal. The hormone profile showed hypergonadotropic hypogonadism with a normal thyroid axis and this was also reported by different authors [15] .

Dysarthria (scanning speech) occurs in this syndrome and like other complications or associated features, it varies in severity. Sensorineural hearing loss may also occur, as in the case of a 24-year-old female who was reported to have sensorineural hearing loss and whose elder brother was also said to have a hearing impairment [12] . Our patient did not have any auditory challenges.

4. Conclusion

This is the first case of hypergonadotropic hypogonadism with primary amenorrhea and normal hearing reported from Nigeria. She is a 26-year-old woman born to unrelated parents. GDHS can present at different ages with varying clinical presentations of varying severity, hence defining a spectrum more than a specific genetic defect. A high index of suspicion is required to make a diagnosis and counseling the patients and their families is useful as this enhances realistic expectations.

Patient Consent

A duly informed consent was obtained from the patient.

Abbreviation

GDHS, Gordon Homes syndrome

Conflicts of Interest

The authors declare no conflicts of interest regarding the publication of this paper.

References

[1] Amor, D.J., Delatycki, M.B., Gardner, R.J.M. and Storey, E. (2001) New Variant of Familial Cerebellar Ataxia with Hypergonadotropic Hypogonadism and Sensorineural Deafness. American Journal of Medical Genetics, 99, 29-33.
[CrossRef
[2] Boucher, B.J. and Gibberd, G.F. (1969) Familial Ataxia, Hypogonadism and Retinal Degeneration. Acta Neurologica Scandinavica, 45, 507-510.
[CrossRef
[3] Braga-Neto, P., Martins, M.C.R., Santos-Neto, D., Weisman, P., de Paula Fiod Costa, E., Pinto, L.M., et al. (2010) Hypergonadotropic Hypogonadism and Cerebellar Ataxia: An Unusual Association. Arquivos de Neuro-Psiquiatria, 68, 132-134.
http://www.scielo.br/scielo.php?script=sci_arttext&pid=S0004-282X2010000100028&lng=en&tlng=en
[CrossRef
[4] Mahale, R., Mehta, A., Kempegowda, M., Sharma, S., Javali, M. and Rangasetty, S. (2015) Hypergonadotrophic Hypogonadism and Cerebellar Ataxia in an Indian Adolescent: A Rare Report. Journal of Pediatric Neurosciences, 10, 414.
http://www.pediatricneurosciences.com/text.asp?2015/10/4/414/174442
[CrossRef] [PubMed]
[5] Holmes, G. (1908) A Form of Familial Degeneration of the Cerebellum. Brain, 30, 466-489.
[CrossRef
[6] Malandrini, A., Villanova, M., Piomboni, P., Collodel, G., Spadaro, M., Giunti, P., Salvadori, C., Morocutti, C. and Guazzi, G.C. (1993) Ultrastructural Sperm Abnormalities and Cerebellar Atrophy: Does a Correlation Exist? Report of Two Cases without Endocrine Hypogonadism. Journal of Submicroscopic Cytology and Pathology, 25, 371-375.
[7] Schwanzel-Fukuda, M., Bick, D. and Pfaff, D.W. (1989) Luteinizing Hormone-Releasing Hormone (LHRH)-Expressing Cells Do Not Migrate Normally in an Inherited Hypogonadal (Kallmann) Syndrome. Molecular Brain Research, 6, 311-326.
https://linkinghub.elsevier.com/retrieve/pii/0169328X89900764
[CrossRef
[8] Neuhäuser, G. and Opitz, J.M. (1975) Autosomal Recessive Syndrome of Cerebellar Ataxia and Hypogonadotropic Hypogonadism. Clinical Genetics, 7, 426-434.
[CrossRef] [PubMed]
[9] Volpe, R., Metzler, W.S. and Johnston, M.W. (1963) Familial Hypogonadotrophic Eunuchoidism with Cerebellar Ataxia. The Journal of Clinical Endocrinology & Metabolism, 23, 107-115.
[CrossRef] [PubMed]
[10] Soussou, M. (2019) Secondary Amenorrhea with Hypogonadotropic Hypogonadism Associated to a Cerebellar Ataxia: Diagnosis Contingencies. International Journal of Advanced Research, 7, 376-380.
http://www.journalijar.com/article/28043/secondary-amenorrhea-with-hypogonadotropic-hypogonadism-associated-to-a-cerebellar-ataxia:-diagnosis-contingencies/
[CrossRef
[11] Georgopoulos, N., Papapetropoulos, S., Chroni, E., Papadeas, E., Dimopoulos, P., Kyriazopoulou, V., et al. (2004) Spinocerebellar Ataxia and Hypergonadotropic Hypogonadism Associated with Familial Sensorineural Hearing Loss. Gynecological Endocrinology, 19, 105-110.
[CrossRef] [PubMed]
[12] Sarikaya, E., Ensert, C. and Gulerman, H. (2011) Hypergonadotropic Hypogonadism, Progressive Early-Onset Spinocerebellar Ataxia, and Late-Onset Sensorineural Hearing Loss: Case Report and Literature Review. Balkan Journal of Medical Genetics, 14.
[CrossRef] [PubMed]
[13] Matthews, W.B. and Rundle, A.T. (1964) Familial Cerebellar Ataxia and Hypogonadism. Brain, 87, 463-468.
[CrossRef] [PubMed]
[14] Synofzik, M., Gonzalez, M.A., Lourenco, C.M., Coutelier, M., Haack, T.B., Rebelo, A., et al. (2014) PNPLA6 Mutations Cause Boucher-Neuhäuser and Gordon Holmes Syndromes as Part of a Broad Neurodegenerative Spectrum. Brain, 137, 69-77.
[CrossRef] [PubMed]
[15] Berciano, J., Amado, J.A., Freijanes, J., Rebollo, M. and Vaquero, A. (1982) Familial Cerebellar Ataxia and Hypogonadotropic Hypogonadism: Evidence for Hypothalamic LHRH Deficiency. Journal of Neurology, Neurosurgery and Psychiatry, 45, 747-751.
[CrossRef] [PubMed]

Copyright © 2026 by authors and Scientific Research Publishing Inc.

Creative Commons License

This work and the related PDF file are licensed under a Creative Commons Attribution 4.0 International License.