Necrotizing Fasciitis Secondary to Emphysematous Cholecystitis and Cholecystocutaneous Fistula: A Rare Case Report Presentation
Alexandra N. Dominianni1, Samantha A. Delapena2, Luis G. Fernandez3,4,5,6,7,8, Mostaffa T. Jabassini9, Sean F. O’Keefe10, Rachel L. Villanueva11, Marc R. Matthews12*
1College of Medicine-Phoenix, University of Arizona, Phoenix, AZ, USA.
2Creighton University Arizona Health Education Alliance, Phoenix, AZ, USA.
3Department of Surgery, Division of Trauma Surgery/Surgical Critical Care, The University of Texas Health Science Center, Tyler, TX, USA.
4The University of Texas-Tyler School of Medicine Bill Barrett Endowed Chair in Trauma Surgery, Tyler, TX, USA.
5Trauma Wound Care, UT Health East, Tyler, TX, USA.
6Department of Surgery, University of Texas Medical Branch, Galveston, TX, USA.
7Adjunct Clinical Professor of Medicine and Nursing, University of Texas, Arlington, TX, USA.
8Past Commanding General TXSG Medical Brigade, Austin, TX, USA.
9Surgical Resident, Abrazo Health Network General Surgery Residency, Glendale, AZ, USA.
10Area Sales Manager, Miach Orthopedics.
11Surgical Acute Account Manager, 3M, Minneapolis, MN, USA.
12Clinical Professor of Surgery, Banner University of Arizona/University Medical Center, Tucson, AZ, USA.
DOI: 10.4236/ss.2023.145043   PDF    HTML   XML   190 Downloads   801 Views  

Abstract

Emphysematous cholecystitis is a rare subtype of acute cholecystitis characterized by the presence of gas in the gallbladder wall secondary to ischemia. Typically, this is a result of cystic artery vascular compromise with a concomitant infection from gas-forming organisms such as Clostridium species, Klebsiella species, or Escherichia coli. The mortality rate of acute emphysematous cholecystitis is 15% - 20% compared with 1.4% in uncomplicated acute cholecystitis. The subsequent development of a cholecystocutaneous fistula, an abnormal connection between the gallbladder and the skin, is also a rare complication of gallbladder disease. We describe a case of a 77-year-old male who presented with right flank necrotizing fasciitis which developed from a cholecystocutaneous fistula secondary to emphysematous cholecystitis. Once the necrotic tissues were adequately debrided, the large open wound was treated with negative pressure wound therapy with instillation (NPWT-i) utilizing hypochlorous acid (HOCL). The wound was closed with a split-thickness skin graft.

Share and Cite:

Dominianni, A. , Delapena, S. , Fernandez, L. , Jabassini, M. , O’Keefe, S. , Villanueva, R. and Matthews, M. (2023) Necrotizing Fasciitis Secondary to Emphysematous Cholecystitis and Cholecystocutaneous Fistula: A Rare Case Report Presentation. Surgical Science, 14, 388-397. doi: 10.4236/ss.2023.145043.

1. Introduction

Emphysematous cholecystitis is a rare subtype of acute cholecystitis characterized by the presence of gas in the gallbladder wall. The “emphysema” is thought to result from ischemia of the gallbladder wall, commonly due to vascular compromise with the subsequent presence of gas-forming bacteria in the gallbladder wall [1] . The mortality rate of acute emphysematous cholecystitis is 15% - 20% compared with 1.4% in uncomplicated acute cholecystitis [1] . Risk factors include male sex, peripheral atherosclerotic disease, and diabetes mellitus [2] .

With the advent of laparoscopic cholecystectomy, a cholecystocutaneous fistula is an uncommon complication of acute cholecystitis [3] [4] [5] . In the last 50 years, 50 cases were reported in the medical literature [3] . Neglected acute cholecystitis/cholelithiasis can result in fistula formation between the gallbladder and the duodenum or the colon [3] . A fistula may also develop between the inflamed gallbladder and the anterior abdominal wall [3] . Cholecystocutaneous fistulas occur when there is increasing pressure within the gallbladder due to cystic duct obstruction (e.g. cholelithiasis), leading to mural inflammation and resulting in subsequent gallbladder wall necrosis [3] . If not rapidly addressed with appropriate intravenous antibiotics and prompt cholecystectomy, the bacteria can cause abscess formation extending into the fascia and muscles of the right upper quadrant [3] [4] [5] . This cascade of events may lead to necrotizing fasciitis.

Necrotizing fasciitis, a fulminant disease, can easily spread along fascial planes leading to sepsis and death [6] . Without immediate surgical debridement and intravenous antibiotics, the patient has a 10% to 25% risk of death [6] [7] . The severity of necrotizing fasciitis is strongly correlated with the presence of underlying medical comorbidities such as immunosuppression, diabetes mellitus, malignancy, and chronic kidney disease [6] [7] .

We describe a case of a 77-year-old male who presented with right flank necrotizing fasciitis which developed from a cholecystocutaneous fistula as a result of an emphysematous cholecystitis. Once the necrotizing abdominal wall tissues were debrided and source control obtained, the large open wound was treated with NPWT-id utilizing hypochlorous acid, until the wound could be closed with split-thickness skin grafts. The institutional review board (IRB) at Valleywise Health Medical Center (formerly known as Maricopa Integrated Health System) has determined that this case report (CR2022-010) is exempt from IRB review based on Code or Federal Regulations (CFRs) Title 45, Part 46—Protection of Human Subjects. The human data presented is in accordance with the Declaration of Helsinki. There was no funding provided or obtained for the writing and development of this scientific paper.

2. Case Report

A 77-year-old male with a past medical history of osteoarthritis and benign prostatic hyperplasia, presented to a local medical center with complaints of lower abdominal pain from urinary distension/retention. The patient underwent an abdominopelvic computerized axial tomography (CAT) scan which revealed an enlarged prostate and what appeared to be a large perihepatic fluid collection, measuring 11.7 × 17.4 centimeters, concerning for an intraabdominal right upper quadrant abscess. A Foley catheter was placed for bladder decompression with symptomatic relief. The patient declined further studies or interventions regarding the right upper quadrant fluid collection around his gallbladder and left against medical advice.

Five weeks later, the patient presented to the same medical facility with shortness of breath, altered mental status, right upper quadrant pain with cutaneous erythema, tachycardia (120 breaths/min), tachypnea (40 beaths/min) and hypotension (80/40 mmHg). The patient had leukocytosis of 15.1K. Repeat CAT scan of the abdominal and pelvis demonstrated a slight decrease in the size of the perihepatic fluid collection; however, the patient had evidence of ascending cholangitis, emphysematous cholecystitis, and necrotizing fasciitis-myositis extending from the right anterolateral chest wall down to the proximal right inguinal canal and over the right hip and flank. The patient was admitted, placed on broad-spectrum antibiotics, and emergently taken to the operating room for excisional debridement of the soft tissues including the skin and subcutaneous tissues of the right upper quadrant. Afterward, the patient was transferred to the author’s (MM) facility for continued surgical management which included multiple debridements, wound care, antibiotic administration, reconstruction, and eventual elective cholecystectomy.

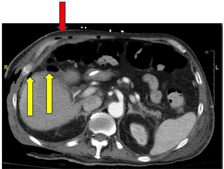
After arrival at MM’s medical center and upon physical examination, the patient was noted to have a large 40 × 50 centimeter soft tissue defect of the right anterolateral chest wall, abdomen, and flank down to muscle (Figure 1). Subsequent CT imaging revealed free air persisting in the subcutaneous and myofascial layers of the right anterior abdominal wall, intraabdominal free air, fluid within the fistulous tract from the gallbladder in the right upper quadrant, and a large right upper quadrant and flank soft tissue defect (Figure 2). The patient was immediately taken back to the operating room for additional soft tissue debridement of the involved areas of the right upper quadrant, chest wall, flank, and hip, extending to the right inguinal ligament. During the second and third surgical debridements multiple gallstones were removed from the right upper quadrant wound bed and confirmed with pathology. These findings, coupled with the history obtained from the referring facility, were consistent with necrotizing

Figure 1. Photographic image of the right upper quadrant and flank, status post debridement for necrotizing fasciitis. Notice the muscle and fascia in the deep wound bed.

Figure 2. Image of computerized axial tomography scan of the abdomen showing free air in muscles of the right upper quadrant abdominal wall and a large right lateral thoracoabdominal flank defect (red arrow), fluid with intrabdominal air along the fistulous tract from the still retained gallbladder (yellow arrows), and a large right flank soft tissue defect.

fasciitis due to a cholecystocutaneous fistula as the sequela of emphysematous cholecystitis with cholelithiasis. Once the wound was free of necrotic tissue, the wound bed was treated with hypochlorous acid solution (Vashe Wound Solution, Urgo Medical North America, Fort Worth, TX) wet to moist dressing changes every 12 hours for several days. Over the next twenty days the wound bed had V.A.C. VERAFLO Cleanse ChoiceTM (3M, Minneapolis, MN) dressing application NPWT-id of hypochlorous acid solution. The settings were: instillation of 150 ml of hypochlorous acid solution, 10-minute dwell time, cycling every 3.5 hours, and a negative pressure of −125 mmHg.

By hospital day (HD) 19, the patient’s wound bed had thick granulation tissue and was deemed suitable for split thickness skin grafts (STSGs). On HD 20, the patient underwent STSG to the right thoracoabdominal region, flank and hip followed by an interface of MepitelTM (Monlycke, Peachtree Corners, GA) and application of V.A.C. VERAFLOTM dressing (3M, Minneapolis, MN) for NPWT at −125 mmHg (Figure 3). The linear chest wound was closed primarily for 20 cm using single, interrupted 2-0 Nylon sutures (Ethicon, Bridgewater, NJ). After five days, the NPWT was removed revealing a 90% STSG take; the remaining open areas were treated daily with non-adherent gauze and ointment (Figure 4). The patient was discharged on HD 32 to a skilled nursing facility with close follow-up. The patient was seen in the clinic at two-week intervals, until the remaining open wounds were completely healed by week 4 following discharge (Figure 5 and Figure 6). At a subsequent admission four weeks later, the patient underwent a laparoscopic cholecystectomy with an interoperative cholangiogram which did not reveal any intraductal cholelithiasis.

Figure 3. Photographic image by hospital day 25 prior to discharge: Right upper quadrant and flank, with split thickness skin graft coverage, with greater than 90% graft take.

Figure 4. Photographic image one week after discharge: Right upper quadrant and flank with several open areas of granulation tissue.

Figure 5. Right chest wall with retained sutures four weeks post discharge (day 54). The sutures were removed in the clinic.

Figure 6. Photograph of the right flank with well-healed split-thickness skin grafts four weeks post discharge (hospital day 54).

3. Discussion

3.1. Emphysematous Cholecystitis: A Rare Subtype of Acute Cholecystitis

Emphysematous cholecystitis is a rare subtype of acute cholecystitis characterized by the presence of gas in the gallbladder wall on plain abdominal radiographs, ultrasound or computerized tomography scans [1] [2] . The emphysema is thought to result from ischemia of the gallbladder wall, likely due to vascular compromise of the cystic artery, with concomitant infection of gas-forming bacteria, such as Clostridium species, Klebsiella species, anaerobic streptococci, Salmonella typhii and Escherichia coli [1] [2] . Presenting signs and symptoms include right upper quadrant abdominal pain with or without Murphy’s sign (inspiratory arrest upon right upper quadrant palpation), low-grade fever, nausea, and emesis. Given the high mortality rate associated with acute emphysematous cholecystitis, the gold standard in treatment is emergent cholecystectomy coupled with perioperative antibiotics [1] . If the patient is too frail or felt to be too unstable for a laparoscopic cholecystectomy, a percutaneous drain can be placed into the gallbladder for bile drainage and gallbladder decompression coupled with antibiotics [1] . Unfortunately, a fistula tract between the gallbladder and the epidermis can result. Drain placement was not necessary in our patient’s case as the emphysematous gallbladder was spontaneously decompressing through an open fistula tract in the right upper quadrant.

3.2. Cholecystocutaneous Fistula in Acute Cholecystitis

A spontaneous cholecystocutaneous fistula is a very uncommon complication of both cholecystitis and cholelithiasis [3] . Occurring between the gallbladder and the skin, this fistula forms due to either 1) increasing pressure in the gallbladder secondary to obstruction of the cystic duct by cholelithiasis, or 2) a gallbladder malignancy [3] . In the first example, obstruction subsequently causes an increase in the intraluminal pressure of the gallbladder leading to impaired blood and lymph flow. With mural inflammation and ischemia leading to necrosis, the gallbladder wall perforates into the abdominal cavity or into the adjacent tissue of the right upper quadrant wall [3] . This fistula tract can penetrate the peritoneal layer and enter the fascia and muscle of the right upper quadrant abdominal wall. The ultimate management is laparoscopic cholecystectomy, right upper quadrant anterior wall debridement, and tract excision with definitive closure.

3.3. Necrotizing Fasciitis: Pathophysiology and Management

Necrotizing fasciitis is a severe and fulminant, life-threatening bacterial infection of the deep soft tissues involving the muscles and fascia, which can cause rapid local tissue destruction, necrosis, and systemic sepsis. The overall mortality rate of necrotizing fasciitis is between 10% to 25% [4] . Early signs and symptoms include tenderness out of proportion to examination at the affected area, tissue crepitus, erythema, and blister deveopment [4] . Vital signs are commonly abnormal including fevers, tachycardia, hypotension, and tachypnea. Induration, fluctuance, skin necrosis, and bullae are commonly found over the affected areas on physical examination [4] . Laboratory findings may include leukocytosis, elevated blood urea nitrogen, elevated serum creatinine, and hyponatremia [4] . Common causative organisms might include Group A streptococcus, Staphylococcus aureus, Escherichia coli, Pseudomonas and Klebsiella species [4] . The mainstay of clinical management is aggressive and extensive surgical debridement of involved tissues and is considered to be the most important determining factor for survival. Intravenous broad-spectrum antibiotics covering suspected prokaryotic organisms must be immediately initiated.

3.4. Various Abdominal Pathologies Leading to Secondary Necrotizing Fasciitis

Necrotizing fasciitis secondary to intraabdominal pathology occurs with bacterial transfer from an infectious source such as appendicitis, cholecystitis, abscess, or another intraabdominal source [3] [8] [9] [10] [11] . In a similar case, Ribeiro et al. in 2020 described an anterior abdominal wall necrotizing fasciitis in a patient with a cholecystocutaneous fistula [3] . Despite aggressive surgical care, antibiotics, intravenous resuscitation, and vasopressors, the patient expired after 24 hours. Romanoff et al. described a 71-year-old male found to have perforated appendicitis that eroded into the abdominal wall causing a necrotizing soft tissue infection [8] . The patient underwent an open appendectomy and abdominal wall debridement while receiving broad-spectrum antibiotics, however he developed a colo-cutaneous fistula secondary to inflammation at the surgical site. Matthews et al. previously described the development of a colo-cutaneous fistula in a patient with a deep, large surface area burn after having undergone a left hemicolectomy with colorectal anastomosis one month prior [12] . In this case, the fistula did not cause necrotizing fasciitis as the burned skin, subcutaneous tissue, and fascia had already been debrided to the muscle layer for adequate burn excision; however, purulent drainage was present. The fistula resolved with wet to moist normal saline dressing changes. Rebai et al. described necrotizing fasciitis of the chest and right abdominal wall in an otherwise healthy 27-year-old male caused by a perforated, acute appendicitis treated with emergent laparotomy and appendectomy [9] . However, on postoperative day 12, the patient returned to the emergency department in septic shock with right flank pain. Surgical exploration revealed purulent peritonitis with necrotizing fasciitis involving the right lower abdomen, right psoas muscle, and right retroperitoneum. Khaladkar et al. described thoracoabdominal necrotizing fasciitis secondary to an emphysematous pyelonephritis with retroperitoneal abscess [11] . With a history of Type II diabetes mellitus, the patient was found to have left emphysematous pyelonephritis, adjacent perinephric abscess, and retroperitoneal extension down to the left inguinal region with necrotizing fasciitis.

3.5. Wound Reconstruction

The reconstruction of a large wound can be facilitated using negative pressure wound therapy coupled with instillation and dwell utilizing hypochlorous acid solution [13] . Such therapy is beneficial for the promotion of granulation tissue and wound healing as it uses macrostrain and microstrain coupled with cyclically timed instillation across the wound bed. NPWT with reticulated open cell foam dressings with instillation and dwell time (NPWTi-d) provides daily, effective hydrosurgical open wound cleansing [14] . Either saline or hypochlorous acid wound cleanser can be instilled in adequate volumes to irrigate the wound bed. Many case reports and case series have illustrated the healing potential of NPWT(i-d) for subsequent wound closure [13] [14] [15] .

4. Conclusion

Emphysematous cholecystitis is a rare complication of acute cholecystitis with increased morbidity and mortality. The development of cholecystocutaneous fistulas provides a route for the migration of bacteria into the soft tissues, potentially leading to necrotizing fasciitis. With all the listed pathologic diseases present in our patient, his chances of survival were extremely low. There is such a paucity of cases reported in the literature, that a best practice paradigm based on prospective randomized studies may be difficult to achieve. Clinicians rely on expert opinions and case studies until more robust evidence-based data becomes available.

Conflicts of Interest

Dr. Delapena, Dr. Jabassini and Ms. Dominianni have no conflicts of interest.

References

[1] Wu, J.M., Lee, C.Y. and Wu, Y.M. (2010) Emphysematous Cholecystitis. The American Journal of Surgery, 200, E53-E54.
[CrossRef] [PubMed]
[2] Oyedeji, F.O. and Voci, S. (2014) Emphysematous Cholecystitis. Ultrasound Quarterly, 30, 246-248.
[CrossRef
[3] Ribeiro, M.A., Russowsky, V.A., Favaro, M. and Santin, S. (2020) Cholecystocutaneous Fistula Associated with Necrotizing Fasciitis and the Abdominal Wall: A Case Report. American Journal of Surgical Case Reports, 2, 2-5
[CrossRef
[4] Ozdemir, Y., Yucel, E., Sucullu, I., Filiz, I., Gulec, B., Akin, M.L. and Yildiz, M. (2012) Spontaneous Cholecystocutaneous Fistula as a Rare Complication of Gallstones. Bratislava Medical Journal, 113, 445-447.
[CrossRef
[5] Cruz Junior, R.J., Nahas, J. and de Figueiredo, L.F. (2006) Spontaneous Cholecystocutaneous Fistula: A Rare Complication of Gallbladder Disease. Sao Paulo Medical Journal, 124, 234-236
[CrossRef
[6] Weimer, S.B., Matthews, M.R., Caruso, D.M. and Foster, K.N. (2017) Retroperitoneal Necrotizing Fasciitis from Fournier’s Gangrene in an Immunocompromised Patient. Case Reports in Surgery, 2017, Article ID: 5290793.
[CrossRef] [PubMed]
[7] Shimizu, T. and Tokuda, Y. (2010) Necrotizing Fasciitis. Internal Medicine, 49, 1051-1057.
[CrossRef] [PubMed]
[8] Romanoff, A., Freed, J. and Heimann, T. (2016) A Case Report of Necrotizing Fasciitis of the Abdominal Wall: A Rare, Life-Threatening Complication of a Common Disease Process. International Journal of Surgery Case Reports, 28, 355-356.
[CrossRef] [PubMed]
[9] Rebai, L., Daghmouri, A. and Boussaidi, I. (2018) Necrotizing Fasciitis of Chest and Right Abdominal Wall Caused by Acute Perforated Appendicitis: Case Report. International Journal of Surgery Case Reports, 53, 32-34.
[CrossRef] [PubMed]
[10] Huang, Z.H., Chiu, Y.C., Ho, L.L., Fan, H.L. and Lu, C.C. (2018) Acute Appendicitis Complicated with Necrotizing Fasciitis in a Patient with Adult-Onset Still’s Disease: A Case Report. Medicine (Baltimore), 97, e9794.
[CrossRef
[11] Khaladkar, S.M., Jain, K.M., Kuber, R. and Gandage, S. (2018) Necrotizing Fasciitis of Thoracic and Abdominal Wall with Emphysematous Pyelonephritis and Retroperitoneal Abscess. Journal of Clinical Imaging Science, 8, Article No. 7.
[CrossRef
[12] Matthews, M.R., Caruso, D.M., Al-Kasspoules, M. and Schiller, W.R. (1999) Retroperitoneal Colocutaneous Fistula in a Large Surface Area Burn. Burns, 25, 81-85.
[13] Delapena, S., Fernandez, L.G., Foster, K.N. and Matthews, M.R. (2020) Negative Pressure Wound Therapy with Instillation and Dwell Time for Management of Complex Wounds: A Case Series. Wounds, 32, E96-E100.
[14] Fernandez, L.G., Matthews, M.R., Ellman, C., Jackson, P., Villareal, D.H. and Norwood, S. (2020) Use of Reticulated Open Cell Foam Dressing with through Holes during Negative Pressure Wound Therapy with Instillation and Dwell Time: A Large Case Study. Wounds, 32, 279-282.
[15] Mauro, L.T., Janowski, C.M., Janowski, M.J., Gonzalez, A.C., Sidoti, E.J., Fernandez, L.G., Kim, P.J. and Matthews, M.R. (2023) Utilizing Instilling Negative Pressure Wound Therapy with Vashe Wound Solution for an Infected Sternal Dehiscence: A Case Report. Surgical Science, 14, 231-239.
[CrossRef

Copyright © 2025 by authors and Scientific Research Publishing Inc.

Creative Commons License

This work and the related PDF file are licensed under a Creative Commons Attribution 4.0 International License.